Anti-Ferritin, Light Chain (FTL) (Microglia Marker) Recombinant Rabbit Monoclonal Antibody (Clone:FTL/2338R)

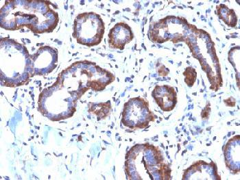
Figure 1: Formalin-fixed, paraffin-embedded Human Breast Carcinoma stained with Ferritin, Light Chain Rabbit Recombinant Monoclonal Antibody (FTL/2338R).
Roll over image to zoom in
Shipping Info:
For estimated delivery dates, please contact us at [email protected]
Format : | Purified |
Amount : | 100 µg |
Isotype : | Rabbit IgG |
Purification : | Protein A/G |
Content : | 200µg/ml of recombinant MAb purified by Protein A/G. Prepared in 10mM PBS with 0.05% BSA & 0.05% azide. Also available WITHOUT BSA & azide at 1.0mg/ml. |
Storage condition : | Antibody with azide - store at 2 to 8°C. Antibody without azide - store at -20 to -80°C. Antibody is stable for 24 months. Non-hazardous. |
Western Blot (1-2µg/ml);Immunohistochemistry (Formalin-fixed) (1-2µg/ml for 30 min at RT)(Staining of formalin-fixed tissues requires heating tissue sections in 10mM Tris with 1mM EDTA, pH 9.0, for 45 min at 95°C followed by cooling at RT for 20 minutes);
For Research Use Only. Not for use in diagnostic/therapeutics procedures.
BioGrid: | 108789. 49 interactions. |
There are currently no product reviews
|