Anti-FOLH1 / PSMA (Prostate Epithelial Marker) Monoclonal Antibody(Clone: SPM500)

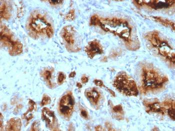
Fig. 1: Formalin-fixed, paraffin-embedded human Prostate Carcinoma stained with FOLH1 (PSMA) Mouse Monoclonal Antibody (SPM500).
Roll over image to zoom in
Shipping Info:
For estimated delivery dates, please contact us at [email protected]
Amount : | 100 µg |
Isotype : | Mouse IgG2b, kappa |
Content : | 200 µg/ml of Ab Purified from Bioreactor Concentrate by Protein A/G. Prepared in 10mM PBS with 0.05% BSA & 0.05% azide. Also available WITHOUT BSA & azide at 1.0mg/ml. |
Storage condition : | Antibody with azide - store at 2 to 8°C. Antibody without azide - store at -20 to -80°C. Antibody is stable for 24 months. Non-hazardous. |
Gene : | FOLH1 |
Gene ID : | 2346 |
Uniprot ID : | Q04609 |
Alternative Name : | Cell growth-inhibiting gene 27 protein (GIG27); Folate hydrolase 1 (FOLH1); Folylpoly-gamma-glutamate carboxypeptidase (FGCP); Glutamate carboxylase II (GCPII); Glutamate carboxypeptidase 2 (GCP2); Glutamate carboxypeptidase II Membrane glutamate carboxypeptidase N-acetylated-alpha-linked acidic dipeptidase I (NAALAD1 or NAALADase); Prostate-specific membrane antigen (PSM or PSMA); Pteroylpoly-gamma-glutamate carboxypeptidase |
Immunogen Information : | Recombinant human FOLH1 protein fragment (around aa 232-433) (exact sequence is proprietary) |
Western Blot (1-2ug/ml);Immunohistochemistry (Formalin-fixed) (1-2ug/ml for 30 minutes at RT)(Staining of formalin-fixed tissues requires heating tissue sections in 10mM Tris with 1mM EDTA, pH 9.0, for 45 min at 95°C followed by cooling at RT for 20 minutes);
For Research Use Only. Not for use in diagnostic/therapeutics procedures.
There are currently no product reviews
|