Anti-HLA-DR+DP Monoclonal Antibody (Clone:HL-40)

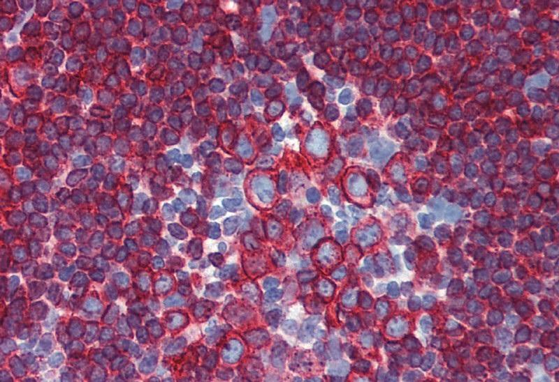
Figure 1: Immunohistochemistry staining of human small intestine (paraffin-embedded sections) with anti-HLA-DR+DP (HL-40).
Roll over image to zoom in
Shipping Info:
For estimated delivery dates, please contact us at [email protected]
Format : | Purified |
Amount : | 0.1 mg |
Isotype : | Mouse IgG2a |
Purification : | Purified by protein-A affinity chromatography |
Storage condition : | Store at 2-8°C. Do not freeze. |
Flow cytometry: Recommended dilution: 1-5 μg/ml.
For Research Use Only. Not for use in diagnostic/therapeutics procedures.
Subcellular location: | Cell membrane, Endoplasmic reticulum membrane, Golgi apparatus, Endosome membrane, Lysosome membrane |
BioGrid: | 109358. 101 interactions. |
There are currently no product reviews
|