Monoclonal Antibody to CD8A (Cytotoxic- & Suppressor T-Cell Marker)(Clone : C8/468)

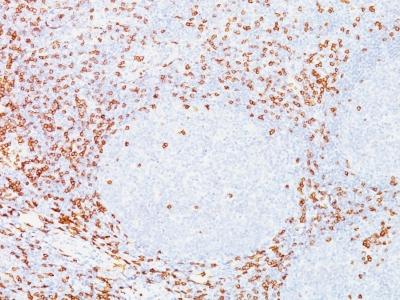
Formalin-fixed, paraffin-embedded human Tonsil stained with CD8 Monoclonal Antibody (C8/468).
Roll over image to zoom in
Shipping Info:
For estimated delivery dates, please contact us at [email protected]
Format : | Purified |
Amount : | 100 µg |
Isotype : | Mouse IgG1, kappa |
Purification : | Affinity Chromatography |
Content : | 100 µg in 500 µl PBS containing 0.05% BSA and 0.05% sodium azide. Sodium azide is highly toxic. |
Storage condition : | Store the antibody at 4°C; stable for 6 months. For long-term storage; store at -20°C. Avoid repeated freeze and thaw cycles. |
Flow Cytometry (1-2ug/million cells); Immunofluorescence (1-2ug/ml); ,Immunohistochemistry (Formalin-fixed) (1-2ug/ml for 30 minutes at RT),(Staining of formalin-fixed tissues requires heating tissue sections in 10mM Tris with 1mM EDTA, pH 9.0, for 45 min at 95 °C followed by cooling at RT for 20 minutes),
For Research Use Only. Not for use in diagnostic/therapeutics procedures.
Subcellular location: | Secreted |
Post transnational modification: | Phosphorylated in cytotoxic T-lymphocytes (CTLs) following activation. |
Tissue Specificity: | CD8 on thymus-derived T-cells usually consists of a disulfide-linked alpha/CD8A and a beta/CD8B chain. Less frequently, CD8 can be expressed as a CD8A homodimer. A subset of natural killer cells, memory T-cells, intraepithelial lymphocytes, monocytes and dendritic cells expresses CD8A homo-dimers. Expressed at the cell surface of plasmacytoid dendritic cells upon herpes simplex virus-1 stimulation. |
BioGrid: | 107363. 14 interactions. |
There are currently no product reviews
|