Anti-HSP60 (Heat Shock Protein 60) (Mitochondrial Marker) Recombinant Mouse Monoclonal Antibody (Clone:rGROEL/780)

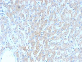
Figure 1: Formalin-fixed, paraffin-embedded human Liver stained with HSP60 Mouse Recombinant Monoclonal Antibody (rGROEL/780).
Roll over image to zoom in
Shipping Info:
For estimated delivery dates, please contact us at [email protected]
Format : | Purified |
Amount : | 100 µg |
Isotype : | Mouse IgG1, kappa |
Purification : | Protein A/G |
Content : | 200µg/ml of recombinant MAb purified by Protein A/G. Prepared in 10mM PBS with 0.05% BSA & 0.05% azide. Also available WITHOUT BSA & azide at 1.0mg/ml. |
Storage condition : | Antibody with azide - store at 2 to 8°C. Antibody is stable for 24 months. ,Non-hazardous. |
Gene : | HSPD1 |
Gene ID : | 3329 |
Uniprot ID : | P10809 |
Alternative Name : | 60kDa chaperonin, 60kDa heat shock protein mitochondrial, Chaperonin, 60-KD (CPN60), GROEL, HLD4, HSP65, HSPD1, HuCHA60, Mitochondrial matrix protein P1, P60 lymphocyte protein, Short heat shock protein 60 Hsp60s1, Spastic paraplegia 13 (SPG13) |
Immunogen Information : | Recombinant full-length human HSP60 protein |
Western Blot (0.25-0.5µg/ml); Immunohistochemistry (Formalin-fixed) (1-2µg/ml for 30 minutes at RT)(Staining of formalin-fixed tissues requires heating tissue sections in 10mM Tris with 1mM EDTA, pH 9.0, for 45 min at 95°C followed by cooling at RT for 20 minutes);
For Research Use Only. Not for use in diagnostic/therapeutics procedures.
Subcellular location: | Mitochondrion matrix |
BioGrid: | 109561. 301 interactions. |
There are currently no product reviews
|