Anti-ATRX / RAD54 (Alpha Thalassemia Mental Retardation) Monoclonal Antibody(Clone: 39f)

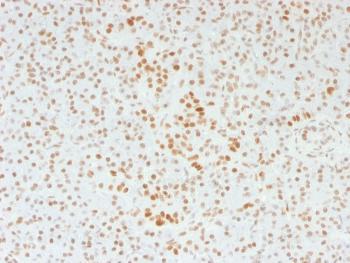
Fig. 1: Formalin-fixed, paraffin-embedded human Pancreas stained with ATRX Mouse Monoclonal Antibody (39f).
Roll over image to zoom in
Shipping Info:
For estimated delivery dates, please contact us at [email protected]
Amount : | 100 µg |
Isotype : | Mouse IgG1, kappa |
Content : | 200 µg/ml of Ab Purified from Bioreactor Concentrate by Protein A/G. Prepared in 10mM PBS with 0.05% BSA & 0.05% azide. Also available WITHOUT BSA & azide at 1.0mg/ml. |
Storage condition : | Antibody with azide - store at 2 to 8°C. Antibody without azide - store at -20 to -80°C. Antibody is stable for 24 months. Non-hazardous. |
Gene : | ATRX |
Gene ID : | 546 |
Uniprot ID : | P46100 |
Alternative Name : | Alpha thalassemia/mental retardation syndrome X linked homolog; ATP-dependent helicase ATRX; ATR2; ATRX; DNA-dependent ATPase and helicase; MRXHF1; RAD54; RAD54L; SFM1; SHS; Transcriptional regulator ATRX; X-linked helicase II; X-linked nuclear protein; XH2; XNP; Znf-HX |
Immunogen Information : | Recombinant full-length human ATRX protein |
Immunohistochemistry (Formalin-fixed) (1-2ug/ml for 30 minutes at RT)(Staining of formalin-fixed tissues requires heating tissue sections in 10mM Tris with 1mM EDTA, pH 9.0, for 45 min at 95°C followed by cooling at RT for 20 minutes);
For Research Use Only. Not for use in diagnostic/therapeutics procedures.
There are currently no product reviews
|