Anti-HSP90 Monoclonal Antibody (Clone : 4F3.E8) - ATTO 488

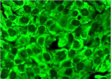
Figure1 : Mouse Anti-Hsp90 Antibody [4F3.E8] used in Immunocytochemistry/Immunofluorescence (ICC/IF) on Human HaCaT cells
Roll over image to zoom in
Shipping Info:
For estimated delivery dates, please contact us at [email protected]
Amount : | 200 µg |
Isotype : | Mouse IgG2a |
Purification : | Protein G Purified |
Content : | PBS pH7.2, 50% glycerol, 0.09% sodium azide |
Storage condition : | Store the antibody at 4°C |
HSP90 is an abundantly and ubiquitously expressed heat shock protein. It is understood to exist in two principal forms alpha and beta, which share 85% sequence amino acid homology. The two isoforms of HSP90 are expressed in the cytosolic compartment. Despite the similarities, HSP90 alpha exists predominantly as a homodimer while HSP90 beta exists mainly as a monomer. From a functional perspective, HSP90 participates in the folding, assembly, maturation, and stabilization of specific proteins as an integral component of a chaperone complex. Furthermore, HSP90 is highly conserved between species; having 60% and 78% amino acid similarity between mammalian and the corresponding yeast and Drosophila proteins, respectively.
HSP90 is a highly conserved and essential stress protein that is expressed in all eukaryotic cells. Despite its label of being a heat-shock protein, HSP90 is one of the most highly expressed proteins in unstressed cells (1–2% of cytosolic protein). It carries out a number of housekeeping functions – including controlling the activity, turnover, and trafficking of a variety of proteins. Most of the HSP90-regulated proteins that have been discovered to date are involved in cell signaling. The number of proteins now know to interact with HSP90 is about 100. Target proteins include the kinases v-Src, Wee1, and c-Raf, transcriptional regulators such as p53 and steroid receptors, and the polymerases of the hepatitis B virus and telomerase. When bound to ATP, HSP90 interacts with co-chaperones Cdc37, p23, and an assortment of immunophilin-like proteins, forming a complex that stabilizes and protects target proteins from proteasomal degradation.
In most cases, HSP90-interacting proteins have been shown to co-precipitate with HSP90 when carrying out immunoadsorption studies, and to exist in cytosolic heterocomplexes with it. In a number of cases, variations in HSP90 expression or HSP90 mutation has been shown to degrade signaling function via the protein or to impair a specific function of the protein (such as steroid binding, kinase activity) in vivo. Ansamycin antibiotics, such as geldanamycin and radicicol, inhibit HSP90 function.
WB (1:2000), IHC (1:100), ICC/IF (1:100); optimal dilutions for assays should be determined by the user.
For Research Use Only. Not for use in diagnostic/therapeutics procedures.
Subcellular location: | Nucleus, Cytoplasm, Melanosome, Cell membrane |
Post transnational modification: | S-nitrosylated; negatively regulates the ATPase activity and the activation of eNOS by HSP90AA1. |
BioGrid: | 109552. 856 interactions. |
There are currently no product reviews
|