Anti-Lambda Light Chain (B-Cell Marker) Monoclonal Antibody(Clone: LLC/3778R)

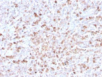
Fig. 1: Formalin-fixed, paraffin-embedded human spleen stained with Lambda Light Chain Recombinant Rabbit Monoclonal Antibody (LLC/3778R).
Roll over image to zoom in
Shipping Info:
For estimated delivery dates, please contact us at [email protected]
Amount : | 100 µg |
Isotype : | Rabbit IgG |
Content : | 200 µg/ml of Ab Purified from Bioreactor Concentrate by Protein A/G. Prepared in 10mM PBS with 0.05% BSA & 0.05% azide. Also available WITHOUT BSA & azide at 1.0mg/ml. |
Storage condition : | Antibody with azide - store at 2 to 8°C. Antibody without azide - store at -20 to -80°C. Antibody is stable for 24 months. Non-hazardous. |
Gene : | IGL |
Gene ID : | 3535; 3546 |
Uniprot ID : | P01701; P01842 |
Alternative Name : | Bence Jones Protein; BJP; IGLC 1/2/3; Mcg Marker; Paraprotein |
Immunogen Information : | Recombinant full-length human IGL protein |
Immunohistochemistry (Formalin-fixed) (0.1-0.2ug/ml for 30 min at RT)(Staining of formalin-fixed tissues requires heating tissue sections in 10mM Tris with 1mM EDTA, pH 9.0, for 45 min at 95°C followed by cooling at RT for 20 minutes);
For Research Use Only. Not for use in diagnostic/therapeutics procedures.
There are currently no product reviews
|