Anti-MMP9 (Matrix Metalloproteinase 9) Monoclonal Antibody(Clone: MMP9/2477)

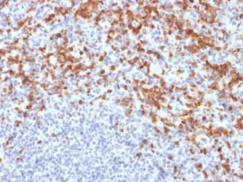
Fig. 1: Formalin-fixed, paraffin-embedded human spleen stained with MMP9 Mouse Recombinant Monoclonal Antibody (MMP9/2477).
Roll over image to zoom in
Shipping Info:
For estimated delivery dates, please contact us at [email protected]
Amount : | 100 µg |
Isotype : | Mouse IgG2b, kappa |
Content : | 200 µg/ml of Ab Purified by Protein A. Prepared in 10mM PBS with 0.05% BSA & 0.05% azide. Also available WITHOUT BSA & azide at 1.0mg/ml. |
Storage condition : | Antibody with azide - store at 2 to 8°C. Antibody without azide - store at -20 to -80°C. Antibody is stable for 24 months. Non-hazardous. |
Gene : | MMP9 |
Gene ID : | 4318 |
Uniprot ID : | P14780 |
Alternative Name : | 82kDa matrix metalloproteinase-9; 92kDa gelatinase; 92kDa type IV collagenase; CLG 4B; CLG4B; Collagenase Type 4 beta; Collagenase type IV 92KD; Gelatinase 92KD; Gelatinase B; Gelatinase beta; GelatinaseB; GELB; Macrophage gelatinase; MANDP2; Matrix metallopeptidase 9 (gelatinase B, 92kDa gelatinase, 92kDa type IV collagenase); Matrix Metalloproteinase 9; MMP9; Type V collagenase |
Immunogen Information : | Recombinant human MMP9 protein fragment (around aa 22-166) (exact sequence is proprietary) |
Immunohistochemistry (Formalin-fixed) (1-2ug/ml for 30 minutes at RT)(Staining of formalin-fixed tissues requires heating tissue sections in 10mM Tris with 1mM EDTA, pH 9.0, for 45 min at 95°C followed by cooling at RT for 20 minutes);
For Research Use Only. Not for use in diagnostic/therapeutics procedures.
There are currently no product reviews
|