Monoclonal Antibody to CD5 (Mantle Cell Lymphoma Marker)(Clone : CD5/54/F6)
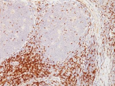
Formalin-fixed, paraffin-embedded human Tonsil stained with CD5 Monoclonal Antibody (CD5/54/F6)
Roll over image to zoom in
Shipping Info:
For estimated delivery dates, please contact us at [email protected]
| Format : | Purified |
| Amount : | 100 µg |
| Isotype : | Mouse IgG1, kappa |
| Purification : | Affinity Chromatography |
| Content : | 100 µg in 500 µl PBS containing 0.05% BSA and 0.05% sodium azide. Sodium azide is highly toxic. |
| Storage condition : | Store the antibody at 4°C; stable for 6 months. For long-term storage; store at -20°C. Avoid repeated freeze and thaw cycles. |
Immunohistochemistry (Formalin-fixed) (1-2ug/ml for 30 minutes at RT)(Staining of formalin-fixed tissues requires heating tissue sections in 10mM Tris with 1mM EDTA, pH 9.0, for 45 min at 95°C followed by cooling at RT for 20 minutes);
For Research Use Only. Not for use in diagnostic/therapeutics procedures.
| Subcellular location: | Cell membrane |
| Post transnational modification: | Phosphorylated on tyrosine residues by LYN; this creates binding sites for PTPN6/SHP-1. |
| BioGrid: | 107359. 14 interactions. |
|
There are currently no product reviews
|























.png)











