Anti-MSH6 (DNA Mismatch Repair Protein) Monoclonal Antibody(Clone: MSH6/3085)

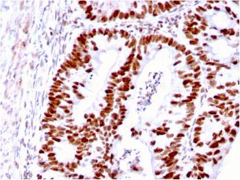
Fig. 1: Formalin-fixed, paraffin-embedded human Colon Carcinoma stained with MSH6 Mouse Monoclonal Antibody (MSH6/3085).
Roll over image to zoom in
Shipping Info:
For estimated delivery dates, please contact us at [email protected]
Amount : | 100 µg |
Isotype : | Mouse IgG2b, kappa |
Content : | 200 µg/ml of Ab Purified from Bioreactor Concentrate by Protein A/G. Prepared in 10mM PBS with 0.05% BSA & 0.05% azide. Also available WITHOUT BSA & azide at 1.0mg/ml. |
Storage condition : | Antibody with azide - store at 2 to 8°C. Antibody without azide - store at -20 to -80°C. Antibody is stable for 24 months. Non-hazardous. |
Gene : | MSH6 |
Gene ID : | 2956 |
Uniprot ID : | P52701 |
Alternative Name : | DNA mismatch repair protein Msh6; G/T mismatch-binding protein; GTBP; GTMBP; hMSH6; HNPCC5; HSAP; MSH6; mutS (E. coli) homolog 6; MutS alpha 160kDa subunit; MutS-alpha 160kDa subunit; p160; Sperm associated protein |
Immunogen Information : | Recombinant fragment of human MSH6 protein (around aa 374-540) (exact sequence is proprietary) |
ELISA (For coating, order Ab without BSA); Immunofluorescence (1-2ug/ml);,Western Blot (1-2ug/ml);,Immunohistochemistry (Formalin-fixed) (1-2ug/ml for 30 minutes at RT),(Staining of formalin-fixed tissues requires heating tissue sections in 10mM Tris with 1mM EDTA, pH 9.0, for 45 min at 95°C followed by cooling at RT for 20 minutes);
For Research Use Only. Not for use in diagnostic/therapeutics procedures.
There are currently no product reviews
|