Anti-MUC1 / CA15-3 / EMA / CD227 (Epithelial Marker) Monoclonal Antibody(Clone: VU-4H5)

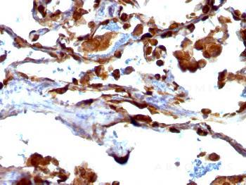
Fig. 1: Formalin-fixed, paraffin-embedded human Lung Carcinoma stained with MUC-1 / CA15-3 / EMA Mouse Monoclonal Antibody (VU-4H5).
Roll over image to zoom in
Shipping Info:
For estimated delivery dates, please contact us at [email protected]
Amount : | 100 µg |
Isotype : | Mouse IgG1, kappa |
Content : | 200 µg/ml of Ab Purified from Bioreactor Concentrate by Protein A/G. Prepared in 10mM PBS with 0.05% BSA & 0.05% azide. Also available WITHOUT BSA & azide at 1.0mg/ml. |
Storage condition : | Antibody with azide - store at 2 to 8°C. Antibody without azide - store at -20 to -80°C. Antibody is stable for 24 months. Non-hazardous. |
Gene : | MUC1 |
Gene ID : | 4582 |
Uniprot ID : | P15941 |
Alternative Name : | Breast carcinoma-associated antigen DF3, CA15-3, Carcinoma-associated mucin Episialin, Epithelial Membrane Antigen, H23AG, KL-6, MAM6, MUC1-alpha, MUC1-beta, MUC1-CT, MUC1-NT, MUC1/ZD, Mucin-1 subunit beta, Peanut-reactive urinary mucin, PEM, PEMT, Polymorphic epithelial mucin, PUM, Tumor-associated epithelial membrane antigen |
Immunogen Information : | Synthetic glycosylated MUC1 60mer tandem repeat NH2-(HGVTSAPDT(GalNAc)RPAPGSTAPPAHG)3-COOH, conjµgated to bovine serum albumin |
Western Blot (1-2ug/ml); Flow Cytometry (1-2ug/million cells); Immunofluorescence (1-2ug/ml); Immunohistochemistry (Formalin-fixed) (1-2ug/ml for 30 minutes at RT)(Staining of formalin-fixed tissues requires heating tissue sections in 10mM Tris with 1mM EDTA, pH 9.0, for 45 min at 95°C followed by cooling at RT for 20 minutes);
For Research Use Only. Not for use in diagnostic/therapeutics procedures.
There are currently no product reviews
|