Monoclonal Antibody to Progesterone Receptor (Clone: C-80)(Discontinued)

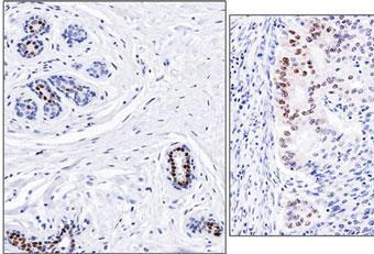
Fig: 1 Immunohistochemical analysis of Progesterone Receptor in normal human breast (left) and endometrial carcinoma (right) using Progesterone Receptor antibody (Clone: C-80) at 1: 500 dilution.
Roll over image to zoom in

Shipping Info:
For estimated delivery dates, please contact us at [email protected]
Format : | Purified |
Amount : | 100 µg |
Isotype : | Mouse IgG1 Kappa |
Purification : | Protein G Chromatography |
Content : | 25 µg in 50 µl/100 µg in 200 µl PBS containing 0.05% BSA and 0.05% sodium azide. Sodium azide is highly toxic. |
Storage condition : | Store the antibody at 4°C; stable for 6 months. For long-term storage; store at -20°C. Avoid repeated freeze and thaw cycles. |
The progesterone receptor (also known as NR3C3) is a member of the steroid or nuclear hormone receptor superfamily family of proteins. Family members are involved in diverse physiological functions including embryonic development, cell differentiation, and homeostasis. The receptors function by binding to DNA in the nucleus and regulating the transcription of target genes. The progesterone receptor is activated by its ligand progesterone, which is a steroid hormone involved in the menstrual cycle, pregnancy and embryogenesis. Progesterone receptor expression status is commonly used as a marker for classifying breast cancers and for predicting prognosis and response to endocrine therapy.
Immunohistochemical analysis: 1:500-1:800
For Research Use Only. Not for use in diagnostic/therapeutics procedures.
Subcellular location: | Mitochondrion outer membrane |
Post transnational modification: | Palmitoylated by ZDHHC7 and ZDHHC21. Palmitoylation is required for plasma membrane targeting and for rapid intracellular signaling via ERK and AKT kinases and cAMP generation. |
Tissue Specificity: | In reproductive tissues the expression of isoform A and isoform B varies as a consequence of developmental and hormonal status. Isoform A and isoform B are expressed in comparable levels in uterine glandular epithelium during the proliferative phase of the menstrual cycle. Expression of isoform B but not of isoform A persists in the glands during mid-secretory phase. In the stroma, isoform A is the predominant form throughout the cycle. Heterogeneous isoform expression between the glands of the endometrium basalis and functionalis is implying region-specific responses to hormonal stimuli. |
BioGrid: | 111260. 68 interactions. |
There are currently no product reviews
|