Anti-Nestin (Cancer Stem Cell Marker) Monoclonal Antibody (Clone: NES/2911)

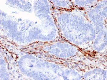
Fig.1: Formalin-fixed, paraffin-embedded human Colon Carcinoma stained with Nestin Mouse Monoclonal Antibody (NES/2911).
Roll over image to zoom in
Shipping Info:
For estimated delivery dates, please contact us at [email protected]
Amount : | 100 µg |
Isotype : | Mouse IgG |
Content : | 200µg/ml of Ab Purified from Bioreactor Concentrate by Protein A/G. Prepared in 10mM PBS with 0.05% BSA & 0.05% azide. Also available WITHOUT BSA & azide at 1.0mg/ml. |
Storage condition : | Antibody with azide - store at 2 to 8°C. Antibody without azide - store at -20 to -80°C. Antibody is stable for 24 months. |
Nestin is a major intermediate filament (IF) protein of embryonic central nervous system progenitor cells. It is also a component of the dynamic IF network during muscle development, where it polymerizes with Desmin and Vimentin. Nestin co-assembles with Vimentin or -internexin and forms heterodimer coiled-coil molecules which then further assemble into 10 nml IFs. Deletion of the IF consensus rod domain in nestin alters nestin localization in CNS precursor cells and radial glial cells in vivo. Nestin is a marker for neuroepithelial stem cells, glioma cells and tumor endothelial cells during rapid growth. During axon elongation of differentiation neurons, nestin localizes to the growth cones and may play a role in growth cone guidance. In the rat adrenal gland, nestin is expressed by the zona fasciculata and the zona reticularis. Nestin is also expressed by dermatomal cells and by myoblasts during the earliest stages of myogenesis.
Immunohistochemistry (Formalin-fixed) (1-2ug/ml for 30 minutes at RT) (Staining of formalin-fixed tissues requires heating tissue sections in 10mM Tris with 1mM EDTA, pH 9.0, for 45 min at 95°C followed by cooling at RT for 20 minutes);
For Research Use Only. Not for use in diagnostic/therapeutics procedures.
There are currently no product reviews
|