Anti-Nitrotyrosine Monoclonal Antibody (Clone:EM-30)

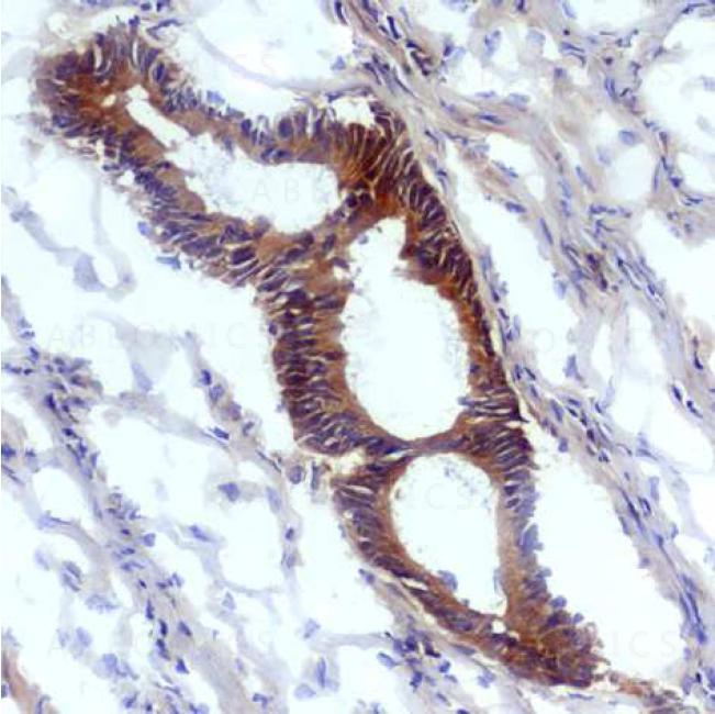
Figure 1: Immunohistochemistry staining (frozen sections) of human tumoral colon epithelium with anti-nitrotyrosine antibody (EM-30).
Roll over image to zoom in
Shipping Info:
For estimated delivery dates, please contact us at [email protected]
Format : | Purified |
Amount : | 0.1 mg |
Isotype : | Mouse IgG1 |
Purification : | Purified by protein-A affinity chromatography |
Storage condition : | Store at 2-8°C. Do not freeze. |
Immunogen Information : | NO2-Tyr-CH2-Thyroglobulin |
Nitrotyrosine can be detected in proteins from a variety of tissues usually in association with pathological conditions. Reaction of nitric oxide with superoxide produces peroxynitrite, which can undergo heterolytic cleavage into nitronium and hydroxyl ions. Nitration of tyrosine residues by nitronium ion forms nitrotyrosine groups in the respective proteins. Nitrotyrosine is thus a marker for inflammation-associated tissue damage.
Immunohistochemistry Recommended dilution:10 µg/ml
Positive tissue:colon cancer epithelium, prostate hyperplasia
For Research Use Only. Not for use in diagnostic/therapeutics procedures.
There are currently no product reviews
|