Anti-NKX3.1 (Metastatic Prostate Adenocarcinoma Marker) Monoclonal Antibody(Clone: NKX3.1/3350)

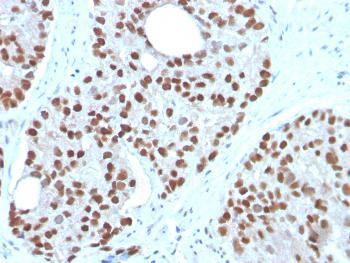
Fig. 1: Formalin-fixed, paraffin-embedded human Prostate Carcinoma stained with NKX3.1 Mouse Monoclonal Antibody (NKX3.1/3350).
Roll over image to zoom in
Shipping Info:
For estimated delivery dates, please contact us at [email protected]
Amount : | 100 µg |
Isotype : | Mouse IgG2b, kappa |
Content : | 200 µg/ml of Ab Purified from Bioreactor Concentrate by Protein A/G. Prepared in 10mM PBS with 0.05% BSA & 0.05% azide. Also available WITHOUT BSA & azide at 1.0mg/ml. |
Storage condition : | Antibody with azide - store at 2 to 8°C. Antibody without azide - store at -20 to -80°C. Antibody is stable for 24 months. Non-hazardous. |
Gene : | NKX3-1 |
Gene ID : | 4824 |
Uniprot ID : | Q99801 |
Alternative Name : | NKX3A; NK3 Transcription Factor Related, Locus 1 (Drosophila); NK3 Transcription Factor Related, Locus 1; NK Homeobox (Drosophila), Family 3, A; NK3 Transcription Factor Homolog A; NK Homeobox, Family 3, A; BAPX2; |
Immunogen Information : | Recombinant fragment (around aa 92-224) of human NKX3.1 protein (exact sequence is proprietary) |
ELISA (For coating, order Ab without BSA);,Immunohistochemistry (Formalin-fixed) (1-2ug/ml for 30 minutes at RT),(Staining of formalin-fixed tissues requires heating tissue sections in 10mM Tris with 1mM EDTA, pH 9.0, for 45 min at 95°C followed by cooling at RT for 20 minutes);
For Research Use Only. Not for use in diagnostic/therapeutics procedures.
There are currently no product reviews
|