Anti-p21WAF1 (Tumor Suppressor Protein) Monoclonal Antibody (Clone: CIP1/2489R)

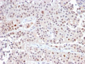
Fig.1: Formalin-fixed, paraffin-embedded human Urothelial Carcinoma stained with p21 Rabbit Recombinant Monoclonal Antibody (CIP1/2489R).
Roll over image to zoom in
Shipping Info:
For estimated delivery dates, please contact us at [email protected]
Amount : | 100 µg |
Isotype : | Rabbit IgG |
Content : | 200µg/ml of Ab Purified from Bioreactor Concentrate by Protein A/G. Prepared in 10mM PBS with 0.05% BSA & 0.05% azide. Also available WITHOUT BSA & azide at 1.0mg/ml. |
Storage condition : | Antibody with azide - store at 2 to 8°C. Antibody without azide - store at -20 to -80°C. Antibody is stable for 24 months. |
Gene : | CDKN1A |
Gene ID : | 1026 |
Uniprot ID : | P38936 |
Alternative Name : | Activating Fragment 1, CAP20, CDK-interacting protein 1, CDKI, CDKN1, CDKN1A, CIP1, Cyclin-dependent kinase inhibitor 1A (p21, Cip1), DNA Synthesis Inhibitor, MDA6, Melanoma Differentiation Associated Protein 6, p21Cip1/Waf1, PIC1, SDI1, SLC12A9, Wild type p53 activated fragment 1 (WAF1) |
Immunogen Information : | Recombinant full-length human CDKN1A protein |
Immunohistochemistry (Formalin-fixed) (1-2ug/ml for 30 minutes at RT)(Staining of formalin-fixed tissues requires heating tissue sections in 10mM Tris with 1mM EDTA, pH 9.0, for 45 min at 95°C followed by cooling at RT for 20 minutes);
For Research Use Only. Not for use in diagnostic/therapeutics procedures.
There are currently no product reviews
|