Anti-PMS2 Monoclonal Antibody (Clone:IHC412)-Ready to Use(Discontinued)

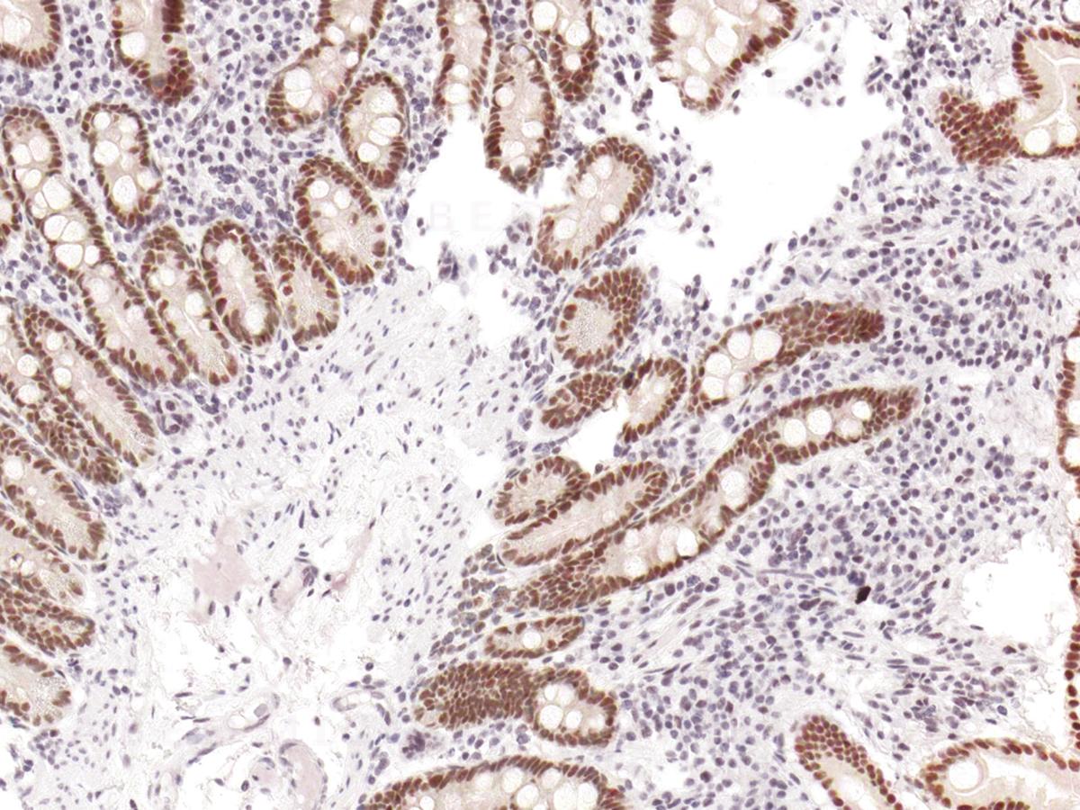
Figure 1: Immunohistochemical analysis of PMS2 (Clone: IHC412) on Duodenum
Roll over image to zoom in

Shipping Info:
For estimated delivery dates, please contact us at [email protected]
Amount : | 25 ml |
Isotype : | Mouse IgG1 |
Purification : | Protein A/G Chromatography |
Content : | Tris Buffer, pH 7.3 - 7.7, with 1% BSA and <0.1% Sodium Azide |
Storage condition : | Store at 2°C - 8°C. Do not freeze. |
"Postmeiotic Segregation Increased 2 (PMS2) is a DNA repair protein involved in mismatch repair. Mutations and deficiencies in the PMS2 gene have been linked to microsatellite instability, and malignancies such as hereditary nonpolyposis colorectal cancer and endometrial cancer. Anti-PMS2 is recommended to be used as part of a panel along with antibodies against MLH1, MSH2, and MSH6."
This product is available in ready to use format, hence no dilution is required.
For Research Use Only. Not for use in diagnostic/therapeutics procedures.
Subcellular location: | Nucleus |
BioGrid: | 111404. 55 interactions. |
There are currently no product reviews
|