Anti-CD11b / MAC-1 (Microglial Marker) Monoclonal Antibody(Clone: ITGAM/3339)

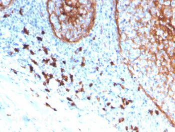
Fig. 1: Formalin-fixed, paraffin-embedded human tonsil stained with CD11b Monospecific Mouse Monoclonal Antibody (ITGAM/3339).
Roll over image to zoom in
Shipping Info:
For estimated delivery dates, please contact us at [email protected]
Amount : | 100 µg |
Isotype : | Mouse IgG1, kappa |
Content : | 200 µg/ml of Ab Purified from Bioreactor Concentrate by Protein A/G. Prepared in 10mM PBS with 0.05% BSA & 0.05% azide. Also available WITHOUT BSA & azide at 1.0mg/ml. |
Storage condition : | Antibody with azide - store at 2 to 8°C. Antibody without azide - store at -20 to -80°C. Antibody is stable for 24 months. Non-hazardous. |
Gene : | ITGAM |
Gene ID : | 3684 |
Uniprot ID : | P11215 |
Alternative Name : | CD18; CD49d; Cell surface glycoprotein MAC-1 subunit alpha; Complement Component Receptor 3 Alpha; CR3 Alpha Chain (CR3A); Integrin alpha-M; Integrin beta 2 alpha subunit; Leukocyte adhesion receptor MO1; Ly-40; MAC1A; Macrophage antigen alpha polypeptide; MO1A; Neutrophil adherence receptor alpha M subunit |
Immunogen Information : | Recombinant fragment (around aa941-1074) of human ITGAM protein (exact sequence is proprietary) |
CD11b is a cell adhesion molecule that acts as a receptor for cell surface ligands such as intracellular adhesion molecules (ICAMs) or soluble ligands. Integrins are heterodimeric proteins that contain an a chain and b chain. Integrin M2 is important in the adherence of neutrophils and monocytes to stimulated endothelium, and also in the phagocytosis of complement coated particles. The protein CD11b has been implicated in the various adhesion-related interactions of cells such as monocytes, macrophages, natural killer (NK) cells, and granulocytes. It is part of a heterodimer that consists of CD11b and CD18. It also modulates the uptake of complement-coated particles within the cell. It is commonly used as a microglial marker in tissues derived from the nervous system.
Immunohistochemistry (Formalin-fixed) (1-2ug/ml for 30 minutes at RT),(Staining of formalin-fixed tissues requires heating tissue sections in 10mM Tris with 1mM EDTA, pH 9.0, for 45 min at 95°C followed by cooling at RT for 20 minutes);
For Research Use Only. Not for use in diagnostic/therapeutics procedures.
There are currently no product reviews
|