Anti-RNA Polymerase II CTD Repeat YSPTSPS (Phospho S5) Monoclonal Antibody(Clone: CTD 8A7)

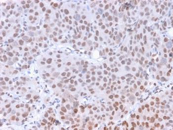
Fig. 1: Formalin-fixed, paraffin-embedded human Colon Carcinoma stained with RNA Polymerase II / Poll II Mouse Monoclonal Antibody (8A7).
Roll over image to zoom in
Shipping Info:
For estimated delivery dates, please contact us at [email protected]
Amount : | 100 µg |
Isotype : | Mouse IgM, kappa |
Content : | 200 µg/ml of Ab Purified from Bioreactor Concentrate. Prepared in 10mM PBS with 0.05% BSA & 0.05% azide. Also available WITHOUT BSA & azide at 1.0mg/ml. |
Storage condition : | Antibody with azide - store at 2 to 8°C. Antibody without azide - store at -20 to -80°C. Antibody is stable for 24 months. Non-hazardous. |
Gene : | POLR2A |
Gene ID : | 5430 |
Uniprot ID : | P24928 |
Alternative Name : | DNA-directed RNA polymerase II largest subunit RNA polymerase II 220 kd subunit; DNA-directed RNA polymerase II subunit RPB1; hRPB220; hsRPB1; POLR2; Polr2a; POLRA; Polymerase (RNA) II (DNA directed) polypeptide A 220kDa; RNA polymerase II subunit B1; RPBh1; RpIILS; RPO2; RPOL2 |
Immunogen Information : | Ten repeats of synthetic peptide YSPTSPS using chemically synthesized phospho-Ser5 |
Flow Cytometry (1-2ug/million cells); Immunofluorescence (1-2ug/ml); Western Blot (1-2ug/ml); Immunohistochemistry (Formalin-fixed) (1-2ug/ml for 30 min at RT)(Staining of formalin-fixed tissues requires heating tissue sections in 10mM Tris with 1mM EDTA, pH 9.0, for 45 min at 95°C followed by cooling at RT for 20 minutes);
For Research Use Only. Not for use in diagnostic/therapeutics procedures.
There are currently no product reviews
|