Anti-SLP76 Polyclonal Antibody

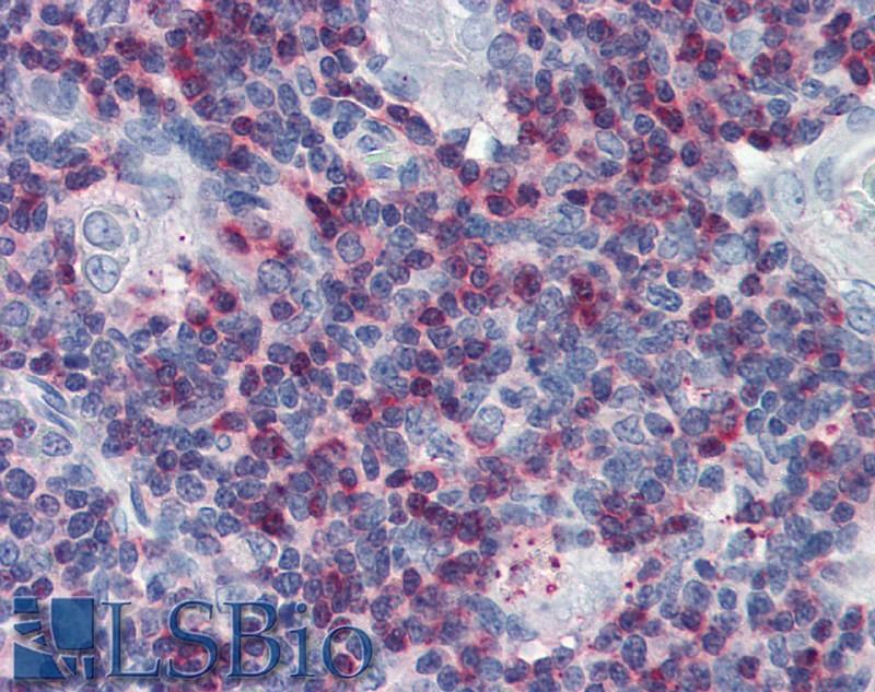
Figure 1: Immunohistochemistry staining of human thymus (paraffin sections) with anti-SLP76 polyclonal.
Roll over image to zoom in
Shipping Info:
For estimated delivery dates, please contact us at [email protected]
Format : | Purified |
Amount : | 0.1 mg |
Isotype : | Rabbit IgG |
Purification : | Purified from rabbit serum by precipitation methods |
Storage condition : | Store at 2-8°C. Do not freeze. |
SLP76 (SH2 domain-containing leukocyte protein of 76 kDa) is a cytosolic adaptor protein which translocates to the plasma mambrane and is involved in multiple signaling pathways in T cells, mast cells, neutrophils and platelets; B cells express its analog SLP65/BLNK (B cell linker protein). SLP76 is phosphorylated by Syk-family and Tec-family tyrosine kinases and couples them to the phosphorylation and activation of PLC-gamma. Via Gads or Grb2, SLP76 also associates with LAT adaptor by involvement of SLP76 proline-rich region. The SH2 domain of SLP76 has been identified as the region involved in binding the serine/threonine kinase HPK1. HPK1 may act as both a positive and a negative regulator by promoting the Jnk-mitogen activated protein kinase (MAPK) pathway and inhibiting the pathway leading to AP-1 activation.
Immunohistochemistry Recommended dilution:10 µg/ml
Positive tissue: thymus
For Research Use Only. Not for use in diagnostic/therapeutics procedures.
Subcellular location: | Cytoplasm |
Post transnational modification: | Phosphorylated after T-cell receptor activation by ZAP70, ITK and TXK, which leads to the up-regulation of Th1 preferred cytokine IL-2. SYK-dependent phosphorylation is required for recruitment of PI3K signaling components. |
Tissue Specificity: | Highly expressed in spleen, thymus and peripheral blood leukocytes. Highly expressed also in T-cell and monocytic cell lines, expressed at lower level in B-cell lines. Not detected in fibroblast or neuroblastoma cell lines. |
BioGrid: | 110129. 34 interactions. |
There are currently no product reviews
|