Anti-SOX2 (Embryonic Stem Cell Marker) Monoclonal Antibody(Clone: rSOX2/1791)
 
		
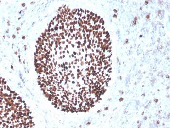
			Fig. 1: Formalin-fixed, paraffin-embedded human cervix stained with SOX2 Recombinant Mouse Monoclonal Antibody (rSOX2/1791).
Roll over image to zoom in
Shipping Info:
For estimated delivery dates, please contact us at [email protected]
| Amount : | 100 µg | 
| Isotype : | Mouse IgG1, kappa | 
| Content : | 200 µg/ml of Ab Purified from Bioreactor Concentrate by Protein A/G. Prepared in 10mM PBS with 0.05% BSA & 0.05% azide. Also available WITHOUT BSA & azide at 1.0mg/ml. | 
| Storage condition : | Antibody with azide - store at 2 to 8°C. Antibody without azide - store at -20 to -80°C. Antibody is stable for 24 months. Non-hazardous. | 
| Gene : | SOX2 | 
| Gene ID : | 6657 | 
| Uniprot ID : | P48431 | 
| Alternative Name : | ANOP3; Delta EF2a; MCOPS3 (Microphthalmia Syndromic type 3); SOX-2; SRY (sex determining region Y) box 2; SRY related HMG box 2; Transcription factor SOX-2; ysb | 
| Immunogen Information : | Recombinant fragment (within aa176-305) of human SOX2 protein (exact sequence is proprietary) | 
SOX2 is required for stem cell maintenance in the central nervous system, and it also regulates gene expression in the stomach. SOX2 is necessary for regulating multiple transcription factors that affect Oct 3/4 expression. An essential function of SOX2 is to stabilize embryonic stem cells in a pluripotent state by maintaining the requisite level of Oct 3/4 expression. Reportedly, SOX2 is associated with aggressive phenotypes of breast, head and neck, gastric, colorectal, bladder, and small cell lung cancers. However, SOX2 is expressed in a high percentage of lung squamous cell carcinomas and has been shown to be an independent favorable prognostic marker.
Immunohistochemistry (Formalin-fixed; Not suitable for frozen tissues) (1-2ug/ml for 30 minutes at RT)(Staining of formalin-fixed tissues requires heating tissue sections in 10mM Tris with 1mM EDTA, pH 9.0, for 45 min at 95°C followed by cooling at RT for 20 minutes);
For Research Use Only. Not for use in diagnostic/therapeutics procedures.
| 
                    	There are currently no product reviews | 























.png)








 
					



