Anti-TFE3 Monoclonal Antibody (Clone:IHC672)
Shipping Info:
For estimated delivery dates, please contact us at [email protected]
| Format : | Purified |
| Amount : | 0.5 ml |
| Isotype : | Mouse IgG1 |
| Purification : | Protein A/G Chromatography |
| Content : | Tris Buffer, pH 7.3 - 7.7, with 1% BSA and <0.1% Sodium Azide |
| Storage condition : | Store at 2°C - 8°C. Do not freeze. |
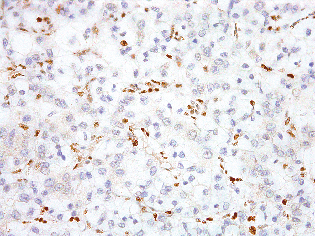
Transcription Factor E3 (TFE3) is a transcription factor that binds to the MUE3-type E-box sequences involved in TGF-Beta signalling. Anti-TFE3 staining is the most sensitive and specific indicator of Xp11 translocation renal cell carcinomas.
Recommended dilutions: Immunohistochemical analysis: 1:100 - 1:200. However, this need to be optimized based on the research applications.
For Research Use Only. Not for use in diagnostic/therapeutics procedures.
| Subcellular location: | Nucleus |
| Post transnational modification: | Sumoylated; does not affect dimerization with MITF. |
| Tissue Specificity: | Ubiquitous in fetal and adult tissues. |
| BioGrid: | 112888. 25 interactions. |
|
There are currently no product reviews
|

















.png)














