Anti-Thyroglobulin Monoclonal Antibody (Clone:IHC674)-Ready to Use

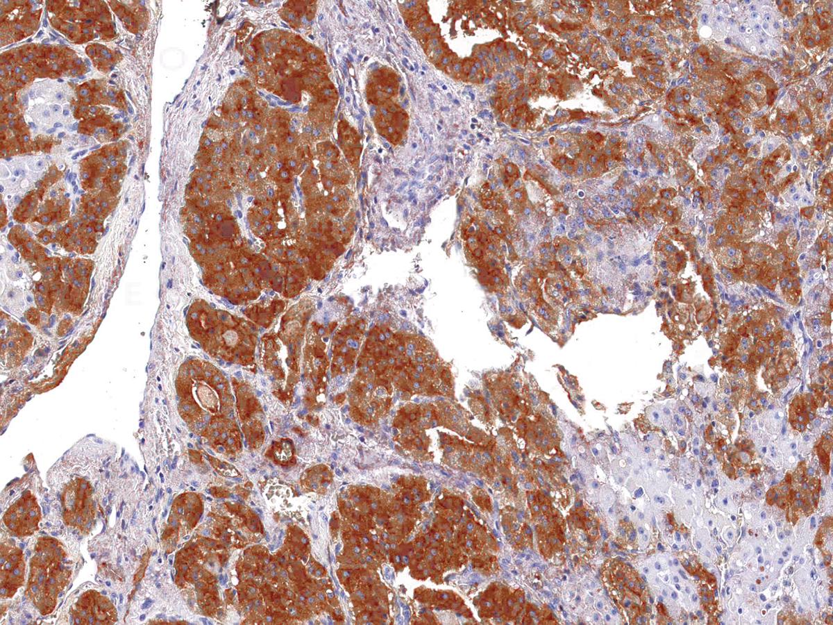
Figure 1: Immunohistochemical analysis of Thyroglobulin (Clone: IHC674) on Thyroid Cancer
Roll over image to zoom in
Shipping Info:
For estimated delivery dates, please contact us at [email protected]
Amount : | 7 ml |
Isotype : | Mouse IgG1 |
Purification : | Protein A/G Chromatography |
Content : | Tris Buffer, pH 7.3 - 7.7, with 1% BSA and <0.1% Sodium Azide |
Storage condition : | Store at 2°C - 8°C. Do not freeze. |
"Thyroglobulin is a precursor to the thyroid hormones T4 and T3 and is present in the thyroid follicular cells. Nearly all thyroid follicular carcinomas stain for thyroglobulin and sometimes produce a focal staining pattern. Conversely, poorly differentiated carcinomas and non-thyroid adenocarcinomas do not stain for thyroglobulin. A panel of Anti-Thyroglobulin and Anti-Calcitonin is useful for identifying medullary thyroid carcinomas, whereas a panel of Anti-Thyroglobulin and Anti-TTF1 is useful for distinguishing between primary thyroid and lung neoplasms."
This product is available in ready to use format, hence no dilution is required.
For Research Use Only. Not for use in diagnostic/therapeutics procedures.
Subcellular location: | Secreted |
Post transnational modification: | Sulfated tyrosines are desulfated during iodination. |
Tissue Specificity: | Thyroid gland specific. |
BioGrid: | 112896. 3 interactions. |
There are currently no product reviews
|