Goat Anti-Type I Collagen-Biotin Conjugated

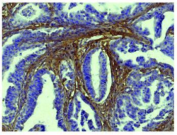
Figure 1: Paraffin embedded human gastric cancer tissue was stained with Goat Anti-Type I Collagen-Biotin followed by Streptavidin-HRP .
Roll over image to zoom in
Shipping Info:
For estimated delivery dates, please contact us at [email protected]
Amount : | 0.2 mg |
Isotype : | Goat IgG |
Purification : | Affinity chromatography on type I collagen covalently linked to agarose |
Content : | 0.4 mg/ml, 0.5 ml, Supplied in PBS/Sodium azide |
Storage condition : | Store at 2-8°C |
There are currently no product reviews
|