Anti-Vimentin Monoclonal Antibody (Clone: V9)

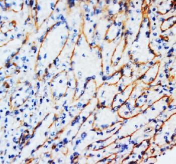
Figure 1: Anti-Vimentin antibody(monoclonal) 39-1052. IHC(P): Human Mammary Cancer Tissue.
Roll over image to zoom in
Shipping Info:
For estimated delivery dates, please contact us at [email protected]
Amount : | 100 μg/vial |
Isotype : | Mouse IgG1 |
Purification : | Ascites |
Content : | Mouse ascites fluid, 1.2% sodium acetate, 2mg BSA, with 0.01mg NaN3 as preservative. Reconstitute : Add 1ml of PBS buffer will yield a concentration of 100ug/ml. |
Storage condition : | At -20˚C for one year. After reconstitution, at 4˚C for one month. It can also be aliquotted and stored frozen at -20˚C for a longer time. Avoid repeated freezing and thawing. |
The VIM gene was one of many that Gieser and Swaroop(1992) recovered from a subtracted cDNA library for retinal pigment epithelium. Vimentin gene express in human lymphocytes and in Burkitt's lymphoma cells. Vimentin is secreted by activated macrophages. The gene encoding human vimentin is located on the short arm of chromosome 10.
Western blot : 0.5-1μg/ml; Immunohistochemistry(Paraffin-embedded Section) : 1.5-2.5μg/ml
For Research Use Only. Not for use in diagnostic/therapeutics procedures.
Subcellular location: | Nucleus matrix, Cytoplasm |
Post transnational modification: | S-nitrosylation is induced by interferon-gamma and oxidatively-modified low-densitity lipoprotein (LDL(ox)) possibly implicating the iNOS-S100A8/9 transnitrosylase complex. |
BioGrid: | 249676. 8 interactions. |
There are currently no product reviews
|