Monoclonal antibody to B7-H4 (Clone: ABM53A6)

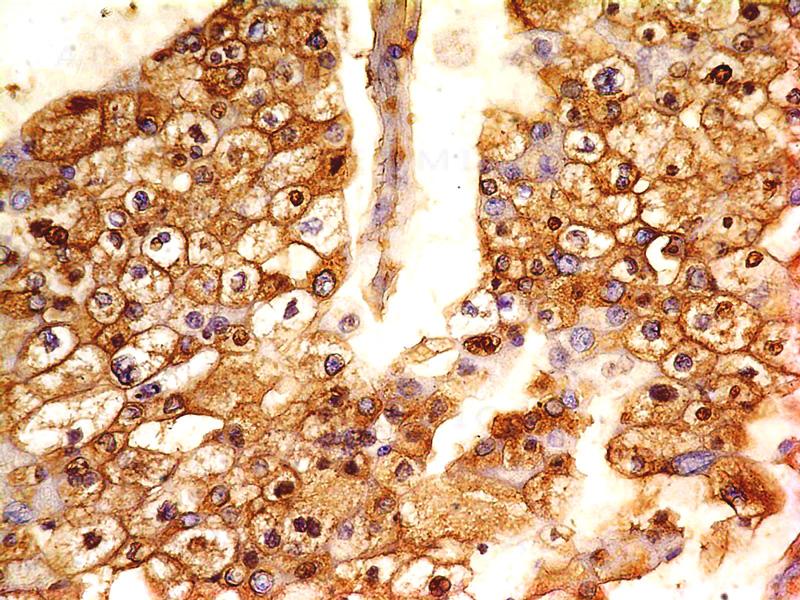
Fig-1: Immunohistochemical analysis of B7-H4 antibody in Renal cell carcinoma using anti-B7-H4 antibody (Clone: ABM53A6) at 5 µg/ml
Roll over image to zoom in
Shipping Info:
Order now and get it on Thursday October 16, 2025
Same day delivery FREE on San Diego area orders placed by 1.00 PM
Format : | Purified |
Amount : | 100 µg |
Isotype : | Mouse IgG2a, k |
Purification : | Protein G Chromatography |
Content : | 25 µg in 50 µl/100 µg in 200 µl PBS containing 0.05% BSA and 0.05% sodium azide. Sodium azide is highly toxic. |
Storage condition : | Store the antibody at 4°C; stable for 6 months. For long-term storage; store at -20°C. Avoid repeated freeze and thaw cycles. |
Gene : | VTCN1 |
Gene ID : | 79679 |
Uniprot ID : | Q7Z7D3 |
Alternative Name : | V-set domain-containing T-cell activation inhibitor 1, B7 homolog 4, B7h.5, Immune costimulatory protein B7-H4, Protein B7S1 |
Immunogen Information : | A partial length recombinant protein (a.a 23-220) of B7-H4 was used as the immunogen for this antibody. |
B7-H4, a member of B7 family, is a transmembrane protein that has been shown to inhibit T cell responses and neutrophil expansion during bacterial infections. B7-H4 mRNA is widely distributed in mouse and human peripheral tissues and can be induced in monocytes, macrophages, and dendritic cells upon IL-6 and IL-10 stimulation. However, in a variety of tumor cells, B7-H4 is predominantly present in intracellular compartments with unknown mechanism and functions. Cell surface expression of B7-H4 protein is limited and shows an inducible pattern on hematopoietic cells. The overexpression of B7-H4 has been found in various types of human tumors, such as breast cancer, renal cell carcinoma (RCC), ovarian cancer, esophageal squamous cell carcinoma, gastric cancer, pancreatic cancer and melanoma etc, where its expression level is positively correlated with disease progression. By arresting cell cycle, B7-H4 ligation of T cells has a profound inhibitory effect on the growth, cytokine secretion, and development of cytotoxicity.
FACS: 0.5-1 µg/10^6 cells; Immunohistochemical analysis: 5 µg/ml; Western blot analysis: 2-4 µg/ml
For Research Use Only. Not for use in diagnostic/therapeutics procedures.
Subcellular location: | Cell membrane |
Post transnational modification: | N-glycosylated. |
Tissue Specificity: | Overexpressed in breast, ovarian, endometrial, renal cell (RCC) and non-small-cell lung cancers (NSCLC). Expressed on activated T- and B-cells, monocytes and dendritic cells, but not expressed in most normal tissues (at protein level). Widely expressed, including in kidney, liver, lung, ovary, placenta, spleen and testis. |
BioGrid: | 122803. 1 interactions. |
There are currently no product reviews
|