Monoclonal Antibody to Bcl-6 (Follicular Lymphoma Marker)(Clone : BCL6/850)(Discontinued)
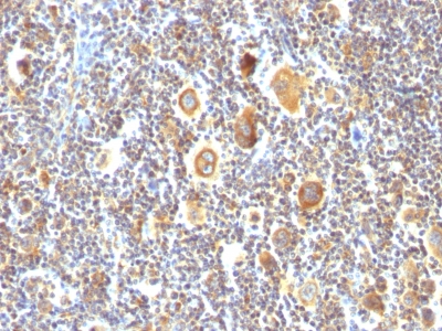
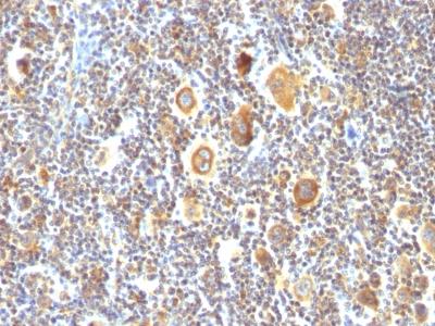
Formalin-fixed, paraffin-embedded human Hodgkin's Lymphoma stained with bcl-6 Monoclonal Antibody (BCL6/850).
Roll over image to zoom in
Shipping Info:
For estimated delivery dates, please contact us at [email protected]
| Format : | Purified |
| Amount : | 100 µg |
| Isotype : | Mouse IgG1 Kappa |
| Purification : | Affinity Chromatography |
| Content : | 100 µg in 500 µl PBS containing 0.05% BSA and 0.05% sodium azide. Sodium azide is highly toxic. |
| Storage condition : | Store the antibody at 4°C; stable for 6 months. For long-term storage; store at -20°C. Avoid repeated freeze and thaw cycles. |
Flow Cytometry (0.5-1µg/million cells in 0.1ml); Immunofluorescence (1-2µg/ml); Immunohistology (Formalin-fixed) (0.5-1µg/ml for 30 minutes at RT); (Staining of formalin-fixed tissues requires boiling tissue sections in 10mM Tris with 1mM EDTA, pH 9.0, for 10-20 min followed by cooling at RT for 20 minutes); Optimal dilution for a specific application should be determined.
For Research Use Only. Not for use in diagnostic/therapeutics procedures.
| Subcellular location: | Nucleus |
| Post transnational modification: | Acetylated at Lys-379 by EP300 which inhibits the interaction with NuRD complex and the transcriptional repressor function. Deacetylated by HDAC- and SIR2-dependent pathways. |
| Tissue Specificity: | Expressed in germinal center T- and B-cells and in primary immature dendritic cells. |
| BioGrid: | 107076. 119 interactions. |
|
There are currently no product reviews
|























.png)













