Monoclonal Antibody to CD269 / TNFRSF17 / BCMA (B-Cell Maturation Protein) (MHC II)(Clone : BCMA/2366)

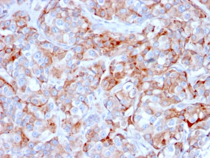
Fig-1: Formalin-fixed, paraffin-embedded human Gastric Carcinoma stained with CD269/TNFRSF17 Mouse Monoclonal Antibody (BCMA/2366).
Roll over image to zoom in
Shipping Info:
For estimated delivery dates, please contact us at [email protected]
Amount : | 100 µg |
Isotype : | Mouse / IgG2c, kappa |
Purification : | Affinity Chromatography |
Content : | Purified Ab with BSA and Azide at 200ug/ml |
Storage condition : | Store the antibody at 4°C; stable for 6 months. For long-term storage; store at -20°C. |
The B cell maturation protein (BCMA) is a type I integral membrane protein that belongs to the tumor necrosis factor receptor (TNF-R) superfamily. It is expressed as a 184 amino acid peptide that is expressed only in mature B-lymphocytes and is located on the cis part of the Golgi apparatus. BCMA shares significant homology with TACI (transmembrane activator) within the cysteine-rich domain. TACI has been shown to bind CAML, which induces activation of NFAT (nuclear factor of activated T cells). Both BCMA and TACI have been shown to bind APRIL and TALL-1, which stimulate B cell proliferation in conjunction with other B-cell activators. When overexpressed, TALL-1 stimulates the development of systemic lupus erythaematosus (SLE).
ELISA (For coating, order antibody without BSA);,Immunohistochemistry (Formalin-fixed) (1-2ug/ml for 30 minutes at RT),(Staining of formalin-fixed tissues requires boiling tissue sections in 10mM Citrate Buffer, pH 6.0, for 10-20 min followed by cooling at RT for 20 minutes),Optimal dilution for a specific application should be determined.
For Research Use Only. Not for use in diagnostic/therapeutics procedures.
There are currently no product reviews
|