Monoclonal Antibody to CD30 / TNFRSF8 (Hodgkin & Reed-Sternberg Cell Marker)(Clone : Ber-H2)

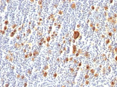
Formalin-fixed, paraffin-embedded human Hodgkin's Lymphoma stained with CD30 Monoclonal Antibody (Ber-H2).
Roll over image to zoom in
Shipping Info:
For estimated delivery dates, please contact us at [email protected]
Format : | T.C. Sup. |
Amount : | 0.5 ml |
Isotype : | Mouse IgG1, kappa |
Content : | Tissue culture supernatant with 0.05% Azide. |
Storage condition : | Store the antibody at 4°C; stable for 6 months. For long-term storage; store at -20°C. Avoid repeated freeze and thaw cycles. |
Recognizes a single chain glycoprotein of 105/120kDa, identified as CD30/Ki-1. Its epitope is located between aa112-412. CD30 is synthesized as a 90kDa precursor, which is processed in the Golgi complex into a membrane-bound phosphorylated mature 105/120kDa glycoprotein. In Hodgkin s disease, CD30/Ki-1 antigen is expressed by mononuclear-Hodgkin and multinucleated Reed-Sternberg cells. It is also expressed by the tumor cells of a majority of anaplastic large cell lymphomas as well as by a varying proportion of activated T and B cells. This MAb distinguishes large cell lymphomas derived from activated lymphoid cells from histiocytic malignancies and lymphomas derived from resting and precursor lymphoid cells or from anaplastic carcinomas. About one third of the Ki-1 positive lymphomas lack the leukocyte common antigen (CD45).
Immunohistochemistry (Formalin-fixed) (1:50-1:100 for 30 minutes at RT) (Staining of formalin-fixed tissues requires heating tissue sections in 1mM EDTA, pH 7.5-8.5, for 45 min at 95°C followed by cooling at RT for 20 minutes)
For Research Use Only. Not for use in diagnostic/therapeutics procedures.
Subcellular location: | Cytoplasm |
Post transnational modification: | Phosphorylated on serine and tyrosine residues. |
BioGrid: | 107381. 30 interactions. |
There are currently no product reviews
|