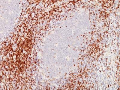
Monoclonal Antibody to CD5 (Mantle Cell Lymphoma Marker)(C5/473 + CD5/54/F6)

Formalin-fixed, paraffin-embedded human Tonsil stained with CD5 Monoclonal Antibody (C5/473 + CD5/54/F6)
Roll over image to zoom in
Shipping Info:
For estimated delivery dates, please contact us at [email protected]
Format : | Purified |
Amount : | 100 µg |
Isotype : | Mouse IgG1, kappa + Mouse IgG1, kappa |
Purification : | Affinity Chromatography |
Content : | 100 µg in 500 µl PBS containing 0.05% BSA and 0.05% sodium azide. Sodium azide is highly toxic. |
Storage condition : | Store the antibody at 4°C; stable for 6 months. For long-term storage; store at -20°C. Avoid repeated freeze and thaw cycles. |
ELISA (For coating use Ab at 1-2ug/ml order Ab without BSA); Immunohistochemistry (Formalin-fixed) (1-2ug/ml for 30 minutes at RT)(Staining of formalin-fixed tissues requires heating tissue sections in 1mM EDTA, pH 7.5-8.5, for 45 min at 95°C followed by cooling at RT for 20 minutes)
For Research Use Only. Not for use in diagnostic/therapeutics procedures.
Subcellular location: | Cell membrane |
Post transnational modification: | Phosphorylated on tyrosine residues by LYN; this creates binding sites for PTPN6/SHP-1. |
BioGrid: | 107359. 14 interactions. |
There are currently no product reviews
|