Monoclonal Antibody to Cytokeratin 6 (KRT6) (Hyperproliferation-Related Keratin)(Clone : SPM269)

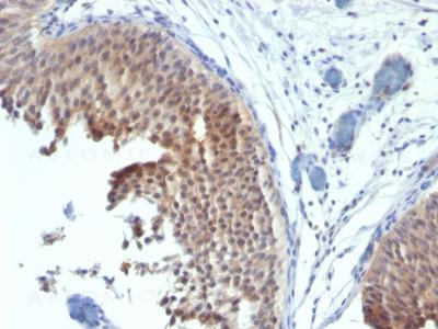
Formalin-fixed, paraffin-embedded human Bladder Carcinoma stained with Cytokeratin 6 Monoclonal Antibody (SPM269)
Roll over image to zoom in
Shipping Info:
For estimated delivery dates, please contact us at [email protected]
Format : | Purified |
Amount : | 100 µg |
Isotype : | Mouse IgG2a, kappa |
Purification : | Affinity Chromatography |
Content : | 100 µg in 500 µl PBS containing 0.05% BSA and 0.05% sodium azide. Sodium azide is highly toxic. |
Storage condition : | Store the antibody at 4°C; stable for 6 months. For long-term storage; store at -20°C. Avoid repeated freeze and thaw cycles. |
Flow Cytometry (1-2ug/million cells); Immunofluorescence (1-2ug/ml); Immunohistochemistry (Formalin-fixed) (1-2ug/ml for 30 minutes at RT)(Staining of formalin/paraffin tissues is enhanced by digestion of tissue sections with pepsin (Sigma Cat. #P-7012) at 1mg/ml Tris-HCl, pH 2.0 for 10-15 min at RT)
For Research Use Only. Not for use in diagnostic/therapeutics procedures.
Tissue Specificity: | Constitutively expressed in distinct types of epithelia such as those in oral mucosa, esophagus, papillae of tongue and hair follicle outer root sheath. |
BioGrid: | 110051. 45 interactions. |
There are currently no product reviews
|