Monoclonal Antibody to CDw75 (B-Cell Marker)(Clone : LN-1)

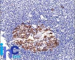
Formalin-fixed, paraffin-embedded normal human Spleen stained with CDw75 Monoclonal Antibody (LN-1).
Roll over image to zoom in
Shipping Info:
For estimated delivery dates, please contact us at [email protected]
Format : | Purified |
Amount : | 100 µg |
Isotype : | Mouse IgM, kappa |
Purification : | Affinity Chromatography |
Content : | 100 µg in 500 µl PBS containing 0.05% BSA and 0.05% sodium azide. Sodium azide is highly toxic. |
Storage condition : | Store the antibody at 4°C; stable for 6 months. For long-term storage; store at -20°C. Avoid repeated freeze and thaw cycles. |
Flow Cytometry (1-2ug/million cells); Immunofluorescence (1-2ug/ml); ,Immunohistochemistry (Formalin-fixed) (1-2ug/ml for 30 minutes at RT),(Staining of formalin-fixed tissues requires heating tissue sections in 10mM Tris with 1mM EDTA, pH 9.0, for 45 min at 95°C followed by cooling at RT for 20 minutes);
For Research Use Only. Not for use in diagnostic/therapeutics procedures.
Subcellular location: | Golgi apparatus, Secreted |
Post transnational modification: | The HB-6, CDW75, and CD76 differentiation antigens are cell-surface carbohydrate determinants generated by this enzyme. |
BioGrid: | 112374. 20 interactions. |
There are currently no product reviews
|