Monoclonal Antibody to Human CD180 (Clone-MHR73)(Discontinued)

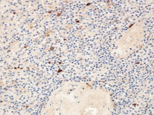
Figure-1: Immunohistochemical analysis of Human CD180 (Clone : MHR73) in human Spleen tissue by using 1:50 dilution of anti-CD180 antibody.
Roll over image to zoom in

Shipping Info:
For estimated delivery dates, please contact us at [email protected]
Format : | Purified |
Amount : | 500 µg |
Isotype : | Mouse IgG1 |
Content : | 0.5 mg, 0.2 µm filtered antibody solution in PBS containing 0.1% bovine serum albumin. |
Storage condition : | Product should be stored at 4 °C. Under recommended storage conditions, product is stable for one year. |
The monoclonal antibody 10-3513 reacts with human RP105 (CD180). RP105 is a type 1 transmembrane protein of 105 kDa with extracellular leucine-rich repeats (LLRs) and a short cytoplasmic tail. RP105, assigned as CD180, is similar to Drosophila Toll in the extracellular LLRs. RP105 expression is largely restricted to immune cells including CD19+ B cells and macrophages. Histological studies showed that RP105 is expressed mainly on mature B cells in mantle zones. Antibody-mediated (MHR73) cross-linking of RP105 induces resistance against irradiation-induced apoptosis, B-cell proliferation, and up-regulation of a costimulatory molecule CD80, revealing RP105 as a potent regulator of B-cell activation. In this context it is important to note that RP105 is associated with MD1, and that it mediates B-cell surface expression and LPS recognition and signalling in cooperation with TLR4. MD-1 seems to be requisite for efficient expression of RP105.
Immunohistochemical analysis - 1:50-1:100 dilution
For Research Use Only. Not for use in diagnostic/therapeutics procedures.
Subcellular location: | Cell membrane |
Tissue Specificity: | Expressed mainly on mature peripherical B cells. Detected in spleen, lymph node and appendix. Not detected in pre-B and -T cells. |
BioGrid: | 110242. 1 interactions. |
There are currently no product reviews
|