Monoclonal Antibody to Macrophage, pan (Histiocytoma & Sebocyte Marker)(Clone : LN-5)
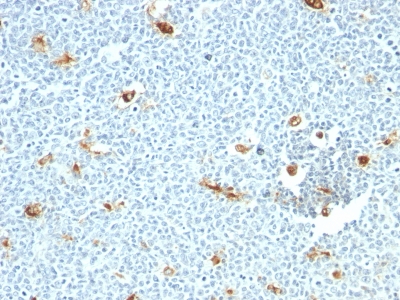
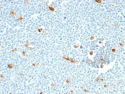
Formalin-fixed, paraffin-embedded human Tonsil stained with Macrophage Monoclonal Antibody (LN-5)
Roll over image to zoom in
Shipping Info:
For estimated delivery dates, please contact us at [email protected]
| Format : | Purified |
| Amount : | 100 µg |
| Isotype : | Mouse IgM, kappa |
| Purification : | Affinity Chromatography |
| Content : | 100 µg in 500 µl PBS containing 0.05% BSA and 0.05% sodium azide. Sodium azide is highly toxic. |
| Storage condition : | Store the antibody at 4°C; stable for 6 months. For long-term storage; store at -20°C. Avoid repeated freeze and thaw cycles. |
| Immunogen Information : | Human peripheral blood mononuclear cells |
This MAb stains the cytoplasm of macrophages and histiocytes in hematopoietic organs, Kupffer s cells of the liver and Langerhan s cells of the skin. Macrophages comprise of many forms of mononuclear phagocytes found in tissues. Mononuclear phagocytes arise from hematopoietic stem cells in the bone marrow. After passing through the monoblast and pro-monocyte states of the monocyte stage, they enter the blood, where they circulate for about 40 hours. They then enter tissues and increase in size, phagocytic activity, and lysosomal enzyme content becoming macrophages. Among the functions of macrophages are nonspecific phagocytosis and pinocytosis, specific phagocytosis of opsonized microorganisms mediated by Fc receptors and complement receptors, killing of ingested microorganisms, digestion and presentation of antigens to T and B lymphocytes, and secretion of a large number of diverse products, including many enzymes including lysozyme and collagenases, several complement components and coagulation factors, some prostaglandins and leukotrienes, and many regulatory molecules (Interferon, Interleukin 1). LN-5 selectively stains human sebaceous glands in formalin-fixed, paraffin-embedded skin samples. Undifferentiated sebocyte progenitors are negative, and only sebocytes from the onset of their differentiation reveal positive cytoplasmic staining. Since there are very few selective and easy-to-use markers of sebaceous glands, LN-5 antibody can offer a simple and relatively specific way to detect human sebocytes from the onset of their.
Immunohistochemistry (Formalin-fixed) (0.1-0.2ug/ml for 30 min at RT)(Staining of formalin-fixed tissues requires heating tissue sections in 10mM Tris with 1mM EDTA, pH 9.0, for 45 min at 95°C followed by cooling at RT for 20 minutes);
For Research Use Only. Not for use in diagnostic/therapeutics procedures.
|
There are currently no product reviews
|






















.png)













