Monoclonal Antibody to TLR5 (Clone: ABM22G1)

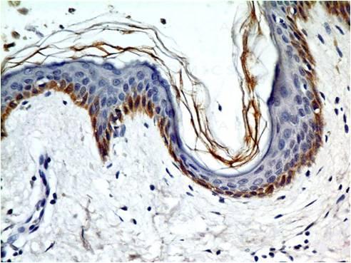
Fig-1 : Immunohistochemical analysis of TLR5 in human skin tissue using TLR5 antibody (Clone: ABM22G1) at 10 µg/ml.
Roll over image to zoom in
Shipping Info:
Order now and get it on Thursday October 16, 2025
Same day delivery FREE on San Diego area orders placed by 1.00 PM
Format : | Purified |
Amount : | 100 µg |
Isotype : | Mouse IgG2a Kappa |
Purification : | Protein G Chromatography |
Content : | 25 µg in 50 µl/100 µg in 200 µl PBS containing 0.05% BSA and 0.05% sodium azide. Sodium azide is highly toxic. |
Storage condition : | Store the antibody at 4°C, stable for 6 months. For long-term storage, store at -20°C. Avoid repeated freeze and thaw cycles. |
Toll-like receptor 5 (TLR5) plays a fundamental role in pathogen recognition and downstream signaling to induce effective immunity. It is well expressed in major old tissues including lung, skin, intestine, and spleen. TLR5 is present in synovial of patients with rheumatoid arthritis (RA), act as novel mediator of innate immunity-induced osteoclastogenesis and bone loss. TLR5 is a receptor for flagellin and is present on the basolateral surface of intestinal epithelial cells. It is involved in the migration of intestinal epithelial cells through activation of the p38 MAPK pathway. TLR5-mediated signaling specifically enhanced the maturation of lung dendritic cells. TLR5 influences the progression and outcome of ovarian, sarcoma, and luminal breast tumors. Mutations in TLR5 have been associated with both resistance and susceptibility to systemic lupus erythematosus, and susceptibility to Legionnaire disease.
Immunohistochemical analysis: 10 µg/ml;FACS analysis: 0.5 µg/10^6 cells
For Research Use Only. Not for use in diagnostic/therapeutics procedures.
Subcellular location: | Membrane |
Post transnational modification: | Phosphorylated at Tyr-798 upon flagellin binding; required for signaling. |
Tissue Specificity: | Highly expressed in ovary and in peripheral blood leukocytes, especially in monocytes, less in CD11c+ immature dendritic cells. Also detected in prostate and testis. |
BioGrid: | 112955. 13 interactions. |
There are currently no product reviews
|