Monoclonal Antibody to ZAP70 (Chronic Lymphocytic Leukemia Marker)(Clone : SPM362)

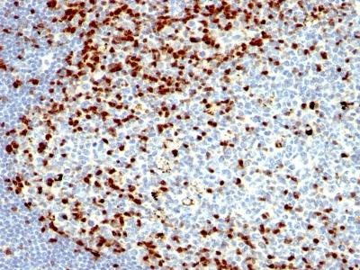
Formalin-fixed, paraffin-embedded human Tonsil stained with ZAP70 Monoclonal Antibody (SPM362).
Roll over image to zoom in
Shipping Info:
For estimated delivery dates, please contact us at [email protected]
Format : | Purified |
Amount : | 100 µg |
Isotype : | Mouse IgG2a, kappa |
Purification : | Affinity Chromatography |
Content : | 100 µg in 500 µl PBS containing 0.05% BSA and 0.05% sodium azide. Sodium azide is highly toxic. |
Storage condition : | Store the antibody at 4°C; stable for 6 months. For long-term storage; store at -20°C. Avoid repeated freeze and thaw cycles. |
Immunohistochemistry (Formalin-fixed) (1-2ug/ml for 30 minutes at RT)(Staining of formalin-fixed tissues requires heating tissue sections in 10mM Tris with 1mM EDTA, pH 9.0, for 45 min at 95°C followed by cooling at RT for 20 minutes);
For Research Use Only. Not for use in diagnostic/therapeutics procedures.
Subcellular location: | Cytoplasm, Cell membrane |
Post transnational modification: | Ubiquitinated in response to T cell activation. Deubiquitinated by OTUD7B. |
Tissue Specificity: | Expressed in T- and natural killer cells. Also present in early thymocytes and pro/pre B-cells. |
BioGrid: | 113367. 52 interactions. |
There are currently no product reviews
|