Mouse Anti-Chicken CD8a

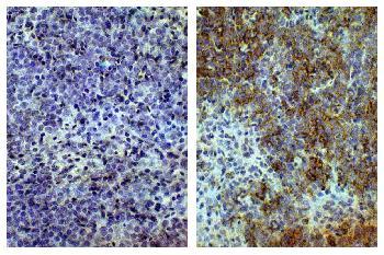
Figure 1: Paraffin embedded chicken spleen tissue was stained with Mouse Anti-Chicken CD8α followed by Anti-Mouse IgG-HRP and DAB.
Roll over image to zoom in
Shipping Info:
For estimated delivery dates, please contact us at [email protected]
Amount : | 0.5 mg |
Isotype : | Mouse IgG1 |
Content : | 0.5 mg/ml, 1.0 ml, Supplied in borate buffered saline, pH 8.2; No preservatives or amine-containing buffer salts added |
Storage condition : | Store at 2-8°C |
Gene : | CD8A |
Uniprot ID : | B1PMA2 |
Alternative Name : | CD8A antigen alpha |
There are currently no product reviews
|