Mouse Anti-Human MMP-2 (Discontinued)

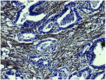
Figure 1: Human gastric cancer tissue was stained with Mouse Anti-Human MMP-2 followed by HRP conjugated Anti-Mouse Ig secondary antibody.
Roll over image to zoom in

Shipping Info:
For estimated delivery dates, please contact us at [email protected]
Amount : | 0.1 mg |
Isotype : | Mouse IgG1, kappa |
Content : | 0.5 mg/ml, 0.2 ml, Supplied in borate buffered saline, pH 8.2; No preservatives or amine-containing buffer salts added |
Storage condition : | Store at 2-8°C |
Subcellular location: | Cytoplasm, Mitochondrion |
Post transnational modification: | The propeptide is processed by MMP14 (MT-MMP1) and MMP16 (MT-MMP3). Autocatalytic cleavage in the C-terminal produces the anti-angiogenic peptide, PEX. This processing appears to be facilitated by binding integrinv/beta3. |
Tissue Specificity: | Produced by normal skin fibroblasts. PEX is expressed in a number of tumors including gliomas, breast and prostate. |
BioGrid: | 110457. 36 interactions. |
There are currently no product reviews
|