Mouse Monoclonal Antibody to ATG3 (Clone: 1377CT239.6.1.12)(Discontinued)

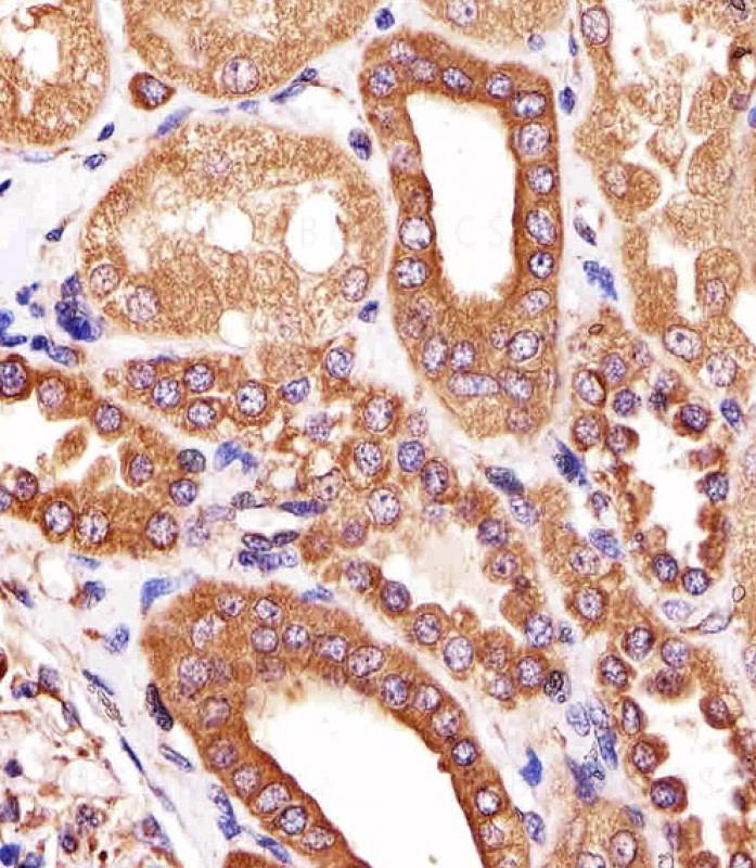
Figure 1: Immunohistochemical analysis of paraffin-embedded h kidney section using ATG3 Antibody (10-6623). ATG3 Antibody was diluted at 1:25 dilution. A undiluted biotinylated goat polyvalent antibody was used as the secondary, followed by DAB staining.
Roll over image to zoom in

Shipping Info:
For estimated delivery dates, please contact us at [email protected]
Format : | Purified |
Amount : | 400 µl |
Isotype : | Mouse IgG1,Kappa |
Purification : | Protein G Chromatography |
Content : | Purified monoclonal antibody supplied in PBS with 0.09% (W/V) sodium azide. |
Storage condition : | Maintain refrigerated at 2-8°C for up to 2 weeks. For long term store at -20°C in small aliquots to prevent freeze-thaw cycles. |
E2 conjugating enzyme required for the cytoplasm to vacuole transport (Cvt), autophagy, and mitochondrial homeostasis. Responsible for the E2-like covalent binding of phosphatidylethanolamine to the C-terminal Gly of ATG8-like proteins (GABARAP, GABARAPL1, GABARAPL2 or MAP1LC3A). The ATG12- ATG5 conjugate plays a role of an E3 and promotes the transfer of ATG8-like proteins from ATG3 to phosphatidylethanolamine (PE). This step is required for the membrane association of ATG8-like proteins. The formation of the ATG8-phosphatidylethanolamine conjugates is essential for autophagy and for the cytoplasm to vacuole transport (Cvt). Preferred substrate is MAP1LC3A. Also acts as an autocatalytic E2-like enzyme, catalyzing the conjugation of ATG12 to itself, ATG12 conjugation to ATG3 playing a role in mitochondrial homeostasis but not in autophagy. ATG7 (E1-like enzyme) facilitates this reaction by forming an E1-E2 complex with ATG3. Promotes primary ciliogenesis by removing OFD1 from centriolar satellites via the autophagic pathway.
IHC-P~1:25|| WB~1:2000
For Research Use Only. Not for use in diagnostic/therapeutics procedures.
Subcellular location: | Cytoplasm |
Post transnational modification: | Cleaved by CASP8 upon death ligand binding such as tumor necrosis factor-alpha. CASP8 cleavage blocks survival-related autophagy and favors apoptosis. |
Tissue Specificity: | Widely expressed, with a highest expression in heart, skeletal muscle, kidney, liver and placenta. |
BioGrid: | 122171. 46 interactions. |
There are currently no product reviews
|