Mouse Monoclonal Antibody to Beta-Actin (Clone: 137CT26.1.1)(Discontinued)

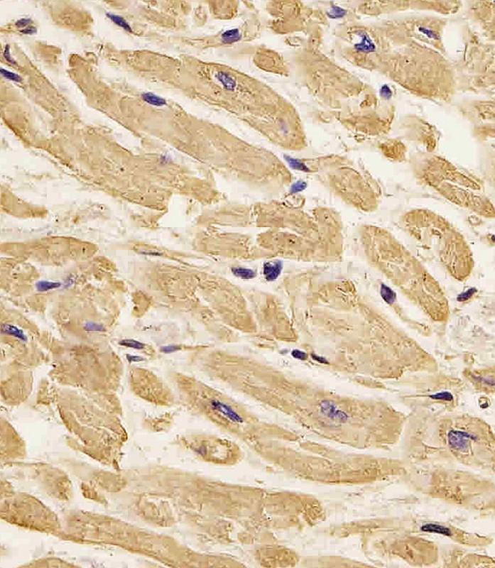
Figure 1: Staining of ACTB antibody (10-6528) in human heart tissue sections by Immunohistochemistry (IHC-P - paraformaldehyde-fixed, paraffin-embedded sections). Tissue was fixed with formaldehyde and blocked with 3% BSA for 0. 5 hour at room temperature; antigen retrieval was by heat mediation with a citrate buffer (pH6). Samples were incubated with primary antibody (1/25) for 1 hours at 37°C. A undiluted biotinylated goat polyvalent antibody was used as the secondary antibody.
Roll over image to zoom in

Shipping Info:
For estimated delivery dates, please contact us at [email protected]
Format : | Purified |
Amount : | 400 µl |
Isotype : | Mouse IgG1,Kappa |
Purification : | Protein G Chromatography |
Content : | Purified monoclonal antibody supplied in PBS with 0.09% (W/V) sodium azide. |
Storage condition : | Maintain refrigerated at 2-8°C for up to 2 weeks. For long term store at -20°C in small aliquots to prevent freeze-thaw cycles. |
This gene encodes one of six different actin proteins. Actins are highly conserved proteins that are involved in cell motility, structure, and integrity. This actin is a major constituent of the contractile apparatus and one of the two nonmuscle cytoskeletal actins.
FACS~1:25|| WB~1:1000|| IHC-P~1:10~50
For Research Use Only. Not for use in diagnostic/therapeutics procedures.
Subcellular location: | Cytoplasm, Nucleus |
Post transnational modification: | (Microbial infection) Monomeric actin is cross-linked by V.cholerae toxins RtxA and VgrG1 in case of infection: bacterial toxins mediate the cross-link between Lys-50 of one monomer and Glu-270 of another actin monomer, resulting in formation of highly toxic actin oligomers that cause cell rounding (PubMed:19015515). The toxin can be highly efficient at very low concentrations by acting on formin homology family proteins: toxic actin oligomers bind with high affinity to formins and adversely affect both nucleation and elongation abilities of formins, causing their potent inhibition in both profilin-dependent and independent manners (PubMed:26228148). |
BioGrid: | 106575. 336 interactions. |
There are currently no product reviews
|