Mouse Monoclonal Antibody to C-myc(Clone: 9 E10)(Discontinued)

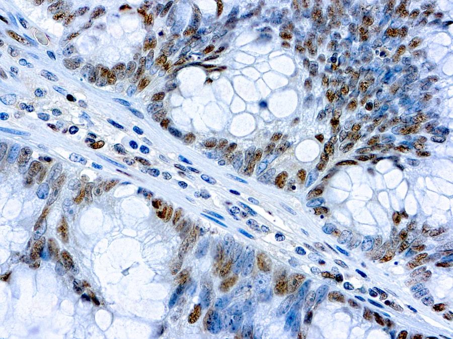
Figure 1 : Formalin fixed paraffin embedded Breast carcinoma stained with c-myc antibody ( 10-11518).
Roll over image to zoom in

Shipping Info:
For estimated delivery dates, please contact us at [email protected]
Format : | Ascites |
Amount : | 0.5 ml |
Isotype : | Mouse IgG1 |
Content : | This antibody is supplied as diluted ascites containing sodium azide as preservative. |
Storage condition : | Store at 2-8°C. |
This antibody recognizes an epitope located in the amino acid residue 410-419 of human oncogene product c-myc. This antibody reacts with both components of the p62 and p64 c-myc.
IHC : 1:25-1:50
For Research Use Only. Not for use in diagnostic/therapeutics procedures.
Subcellular location: | Nucleus, Nucleus |
Post transnational modification: | Ubiquitinated by the SCF(FBXW7) complex when phosphorylated at Thr-58 and Ser-62, leading to its degradation by the proteasome. In the nucleoplasm, ubiquitination is counteracted by USP28, which interacts with isoform 1 of FBXW7 (FBW7alpha), leading to its deubiquitination and preventing degradation. In the nucleolus, however, ubiquitination is not counteracted by USP28 but by USP36, due to the lack of interaction between isoform 3 of FBXW7 (FBW7gamma) and USP28, explaining the selective MYC degradation in the nucleolus (PubMed:25775507,PubMed:17558397). Also polyubiquitinated by the DCX(TRUSS) complex. Ubiquitinated by TRIM6 in a phosphorylation-independent manner (By similarity). |
BioGrid: | 110694. 668 interactions. |
There are currently no product reviews
|