Mouse Monoclonal Antibody to CK5 (CK-HMW)(Clone :BS42)(Discontinued)

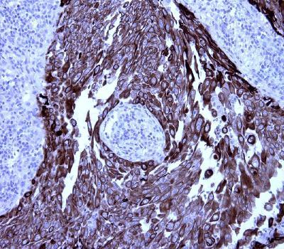
Figure-1: Lung squamous cell cancer section has been stained using CK5 antibody (Clone: BS42) with 1:200 dilution. Lung squamous cell cancer stained intensively.
Roll over image to zoom in

Shipping Info:
For estimated delivery dates, please contact us at [email protected]
Amount : | 0.5 ml |
Isotype : | Mouse IgG1 |
Content : | TRIS with 0.03% sodium azide, pH7.2 |
Storage condition : | Store at 4°C |
CK5 (keratin 5) is a member of the keratin gene family. Biochemically, most members of the CK family fall into one of two classes, type I (acidic polypeptides) and type II (basic polypeptides). The type II cytokeratins consist of basic or neutral proteins which are arranged in pairs of heterotypic keratin chains coexpressed during differentiation of simple and stratified epithelial tissues. This type II cytokeratin is specifically expressed in the basal layer of the epidermis with family member KRT14. The type II cytokeratins are clustered in a region of chromosome 12q12-q13. At least one member of the acidic family and one member of the basic family is expressed in all epithelial cells. Cytokeratin 5 is expressed in normal basal cells. Mutations of the Cytokeratin5 gene (KRT5) have been shown to result in the autosomal dominant disorderepidermolysis bullosa (EB). Defects in KRT5 are a cause of epidermolysis bullosa simplex.
Immunohistochemical Analysis :-1:200
For Research Use Only. Not for use in diagnostic/therapeutics procedures.
Tissue Specificity: | Expressed in epidermis. |
BioGrid: | 110050. 66 interactions. |
There are currently no product reviews
|