Mouse Monoclonal Antibody to Cytomegalovirus(Clone: DDG9 + CCH2)(Discontinued)

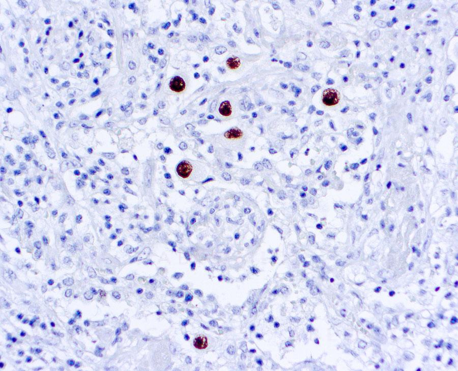
Figure 1 : Formalin fixed paraffin embedded tissue stained with CMV antibody ( 10-11508).
Roll over image to zoom in

Shipping Info:
For estimated delivery dates, please contact us at [email protected]
Format : | T.C. Sup. |
Amount : | 0.5 ml |
Isotype : | DDG9, Mouse IgG2a, Kappa; CCH2, Mouse IgG1, Kappa |
Content : | This product is supplied as a tissue culture supernatant and contains sodium azide as a preservative. |
Storage condition : | Store at 2-8°C. |
Immunogen Information : | BALB/C mice were immunized with cytomegalovirus infected cell lysate. |
This cocktail antibody stains infected cells giving a nuclear staining pattern with an immediate early and an early CMV antigen.
IHC : 1:10-1:25
For Research Use Only. Not for use in diagnostic/therapeutics procedures.
There are currently no product reviews
|