Mouse Monoclonal Antibody to EGFR (C-term)(Clone: 688CT33.1.3)(Discontinued)
Figure 1: All lanes : Anti-EGFR Antibody (10-6592) at 1:1000 dilution with Lane 1: A431 whole cell lysate, Lane 2: Hela whole cell lysates/proteins at 20 µg per lane. Secondary Goat Anti-mouse IgG, (H+L), Peroxidase conjugated at 1/10000 dilution. Predicted band size : 134 kDa.
Roll over image to zoom in
Shipping Info:
For estimated delivery dates, please contact us at [email protected]
| Format : | Purified |
| Amount : | 400 µl |
| Isotype : | Mouse IgG1 |
| Purification : | Protein G Chromatography |
| Content : | Purified monoclonal antibody supplied in PBS with 0.09% (W/V) sodium azide. |
| Storage condition : | Maintain refrigerated at 2-8°C for up to 2 weeks. For long term store at -20°C in small aliquots to prevent freeze-thaw cycles. |
The protein encoded by this gene is a transmembrane glycoprotein that is a member of the protein kinase superfamily.
This protein is a receptor for members of the epidermal growth factor family. EGFR is a cell surface protein that binds to epidermal growth factor. Binding of the protein to a ligand induces receptor dimerization and tyrosine autophosphorylation and leads to cell proliferation. Mutations in this gene are associated with lung cancer. Multiple alternatively spliced transcript variants that encode different protein isoforms have been found for this gene.
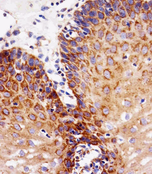
WB~1:1000|| IHC-P~1:25
For Research Use Only. Not for use in diagnostic/therapeutics procedures.
| Subcellular location: | Secreted |
| Post transnational modification: | Methylated. Methylation at Arg-1199 by PRMT5 stimulates phosphorylation at Tyr-1197. |
| Tissue Specificity: | Ubiquitously expressed. Isoform 2 is also expressed in ovarian cancers. |
| BioGrid: | 108276. 1217 interactions. |
|
There are currently no product reviews
|

























.png)











