Mouse Monoclonal Antibody to Insulin(Clone: K36ac10)(Discontinued)

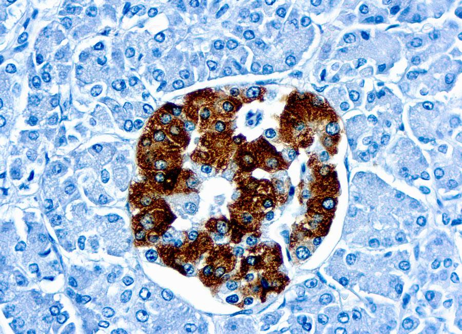
Figure 1 : Formalin fixed paraffin embedded human pancreas stained with Insulin antibody ( 10-11519).
Roll over image to zoom in

Shipping Info:
For estimated delivery dates, please contact us at [email protected]
Format : | Ascites |
Amount : | 0.5 ml |
Isotype : | Mouse IgG1 |
Content : | This antibody is supplied as ascites fluid containing sodium azide as preservative. |
Storage condition : | Store at 2-8°C. |
This antibody recognizes purified insulin from the pancreas of human, as well as proinsulin from human.
IHC : 1:25-1:50
For Research Use Only. Not for use in diagnostic/therapeutics procedures.
Subcellular location: | Secreted |
There are currently no product reviews
|