Mouse Monoclonal Antibody to Mammaglobin(Clone :BS17) (Discontinued)

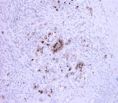
Figure-1: Breast Cancer section has been stained using Mammaglobin antibody (Clone: BS17).
Roll over image to zoom in

Shipping Info:
For estimated delivery dates, please contact us at [email protected]
Amount : | 0.5 ml |
Content : | TRIS with 0.03% sodium azide, pH7.2 |
Storage condition : | Store at 4°C |
Immunohistochemical Analysis :-1:200
For Research Use Only. Not for use in diagnostic/therapeutics procedures.
Subcellular location: | Secreted |
Tissue Specificity: | Mammary gland specific. Over-expressed in breast cancer. |
BioGrid: | 110406. 82 interactions. |
There are currently no product reviews
|