Polyclonal Antibody to Aurora A (phospho-Thr288)

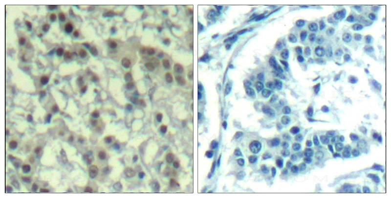
Figure 1: Immunohistochemical analysis of paraffin-embedded human breast carcinoma tissue using Aurora A(Phospho-Thr288) Antibody 35-1313 (left) or the same antibody preincubated with blocking peptide(right).
Roll over image to zoom in
Shipping Info:
For estimated delivery dates, please contact us at [email protected]
Format : | Purified |
Amount : | 100 µl |
Isotype : | Rabbit IgG |
Content : | Supplied at 1.0mg/mL in phosphate buffered saline (without Mg2+ and Ca2+), pH 7.4, 150mM NaCl, 0.02% sodium azide and 50% glycerol. |
Storage condition : | Store the antibody at 4°C, stable for 6 months. For long-term storage, store at -20°C. Avoid repeated freeze and thaw cycles. |
Contributes to the regulation of cell cycle progression. Required for normal mitosis. Associates with the centrosome and the spindle microtubules during mitosis and functions in centrosome maturation, spindle assembly, maintenance of spindle bipolarity, centrosome separation and mitotic checkpoint control. Phosphorylates numerous target proteins, including ARHGEF2, BRCA1, KIF2A, NDEL1, PARD3, PLK1 and BORA. Regulates KIF2A tubulin depolymerase activity By similarity. Required for normal axon formation. Plays a role in microtubule remodeling during neurite extension. Important for microtubule formation and/or stabilization. Bischoff, J.R. et al. (1998) EMBO J 17, 3052-65. Hauf, S. et al. (2003) J Cell Biol 161, 281-94. Walter, A.O. et al. (2000) Oncogene 19, 4906-16. Zhou, H. et al. (1998) Nat Genet 20, 189-93.
Predicted MW: 48kd, Immunohistochemistry: 1:50~1:100
For Research Use Only. Not for use in diagnostic/therapeutics procedures.
Subcellular location: | Cytoplasm, Cytoplasm, Cytoplasm, Cytoplasm |
Post transnational modification: | Ubiquitinated by the E3 ubiquitin-protein ligase complex SCF(FBXL7) during mitosis, leading to its degradation by the proteasome. Ubiquitinated by CHFR, leading to its degradation by the proteasome (By similarity). Ubiquitinated by the anaphase-promoting complex (APC), leading to its degradation by the proteasome. |
Tissue Specificity: | Highly expressed in testis and weakly in skeletal muscle, thymus and spleen. Also highly expressed in colon, ovarian, prostate, neuroblastoma, breast and cervical cancer cell lines. |
BioGrid: | 112666. 374 interactions. |
There are currently no product reviews
|