Polyclonal Antibody to BCL-2(Phospho-Ser70)

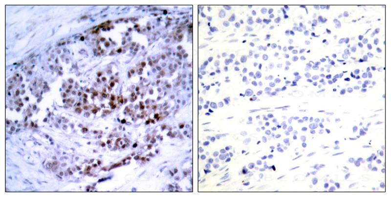
Figure 1: Immunohistochemical analysis of paraffin-embedded human breast carcinoma, using BCL-2 (phospho-Ser70) antibody (35-1063 ).
Roll over image to zoom in
Shipping Info:
For estimated delivery dates, please contact us at [email protected]
Format : | Purified |
Amount : | 100 µl |
Isotype : | Rabbit IgG |
Content : | Supplied at 1.0mg/mL in phosphate buffered saline (without Mg2+ and Ca2+), pH 7.4, 150mM NaCl, 0.02% sodium azide and 50% glycerol. |
Storage condition : | Store the antibody at 4°C, stable for 6 months. For long-term storage, store at -20°C. Avoid repeated freeze and thaw cycles. |
Suppresses apoptosis in a variety of cell systems including factor-dependent lymphohematopoietic and neural cells. Regulates cell death by controlling the mitochondrial membrane permeability. Appears to function in a feedback loop system with caspases. Inhibits caspase activity either by preventing the release of cytochrome c from the mitochondria and/or by binding to the apoptosis-activating factor (APAF-1).
Predicted MW: 26kd, Immunohistochemistry: 1:50~1:100
For Research Use Only. Not for use in diagnostic/therapeutics procedures.
Subcellular location: | Mitochondrion outer membrane, Nucleus membrane, Endoplasmic reticulum membrane |
Post transnational modification: | Monoubiquitinated by PRKN, leading to increase its stability. Ubiquitinated by SCF(FBXO10), leading to its degradation by the proteasome. |
Tissue Specificity: | Expressed in a variety of tissues. |
BioGrid: | 107068. 102 interactions. |
There are currently no product reviews
|