Polyclonal Antibody to Cortactin (Ab-421)

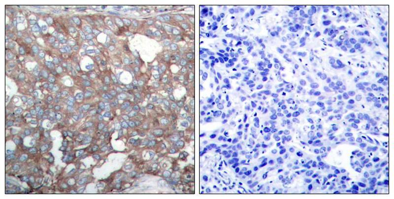
Figure 1: Immunohistochemical analysis of paraffin-embedded human breast carcinoma tissue using Cortactin(Ab-421) Antibody 35-1596 (left) or the same antibody preincubated with blocking peptide(right).
Roll over image to zoom in
Shipping Info:
For estimated delivery dates, please contact us at [email protected]
Format : | Purified |
Amount : | 100 µl |
Isotype : | Rabbit IgG |
Content : | Supplied at 1.0mg/mL in phosphate buffered saline (without Mg2+ and Ca2+), pH 7.4, 150mM NaCl, 0.02% sodium azide and 50% glycerol. |
Storage condition : | Store the antibody at 4°C, stable for 6 months. For long-term storage, store at -20°C. Avoid repeated freeze and thaw cycles. |
Cortactin is overexpressed in breast cancer and squamous cell carcinomas of the head and neck. The encoded protein is localized in the cytoplasm and in areas of the cell-substratum contacts. This gene has two roles: (1) regulating the interactions between components of adherens-type junctions and (2) organizing the cytoskeleton and cell adhesion structures of epithelia and carcinoma cells. During apoptosis, the encoded protein is degraded in a caspase-dependent manner. The aberrant regulation of this gene contributes to tumor cell invasion and metastasis. Two splice variants that encode different isoforms have been identified for this gene.
Predicted MW: 85kd, Immunohistochemistry: 1:50~1:100
For Research Use Only. Not for use in diagnostic/therapeutics procedures.
Subcellular location: | Cytoplasm, Cell projection, Cell projection, Cell projection, Cell projection, Cell membrane, Cell projection, Cell junction, Cell junction, Membrane, Cell projection, Cytoplasm |
Post transnational modification: | Phosphorylated by PKN2 at both serine and threonine residues in a GTP-bound Rac1-dependent manner in hyaluronan-induced astrocytes and hence down-regulated CTTN ability to associates with filamentous actin (By similarity). Phosphorylated on tyrosine residues in response to CHRM1 activation (By similarity). Phosphorylated by PTK2/FAK1 in response to cell adhesion (By similarity). Phosphorylated by FER. Tyrosine phosphorylation in transformed cells may contribute to cellular growth regulation and transformation. Phosphorylated in response to FGR activation. Phosphorylation by SRC promotes MYLK binding. |
BioGrid: | 108332. 136 interactions. |
There are currently no product reviews
|